MT-ND5 Polyclonal Antibody

Cat.#: 165716

Special Price 226.5 USD

Availability: In Stock
- +

Add to cart to get an online quotation

Product Information

  • Product Name
    MT-ND5 Polyclonal Antibody
  • Documents
  • Description
    Polyclonal antibody to MT-ND5
  • Tested applications
    WB, IHC
  • Species reactivity
    Human, Mouse, Rat
  • Alternative names
    MT-ND5 antibody; MTND5 antibody; ND5 antibody; NADH dehydrogenase, subunit 5 (complex I) antibody
  • Isotype
    Rabbit IgG
  • Preparation
    Antigen: A synthetic peptide corresponding to a sequence within amino acids 500-600 of mouse MT-ND5 (NP_904338.1).
  • Clonality
    Polyclonal
  • Formulation
    PBS with 0.02% sodium azide, 50% glycerol, pH7.3.
  • Storage instructions
    Store at -20℃. Avoid freeze / thaw cycles.
  • Applications
    WB 1:500 - 1:2000
    IHC 1:50 - 1:200
  • Validations

    Western blot - MT-ND5 Polyclonal Antibody

    Western blot - MT-ND5 Polyclonal Antibody

    Western blot analysis of extracts of various cell lines, using MT-ND5 antibody at 1:1000 dilution.Secondary antibody: HRP Goat Anti-Rabbit IgG (H+L) at 1:10000 dilution.Lysates/proteins: 25ug per lane.Blocking buffer: 3% nonfat dry milk in TBST.Detection: ECL Basic Kit .Exposure time: 5s.

    Immunohistochemistry - MT-ND5 Polyclonal Antibody

    Immunohistochemistry - MT-ND5 Polyclonal Antibody

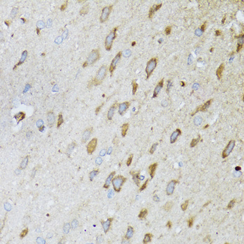
    Immunohistochemistry of paraffin-embedded rat brain using MT-ND5 antibody at dilution of 1:100 (40x lens).

    Immunohistochemistry - MT-ND5 Polyclonal Antibody

    Immunohistochemistry - MT-ND5 Polyclonal Antibody

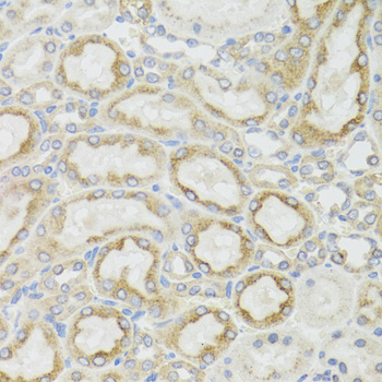
    Immunohistochemistry of paraffin-embedded rat kidney using MT-ND5 antibody at dilution of 1:100 (40x lens).

    Immunohistochemistry - MT-ND5 Polyclonal Antibody

    Immunohistochemistry - MT-ND5 Polyclonal Antibody

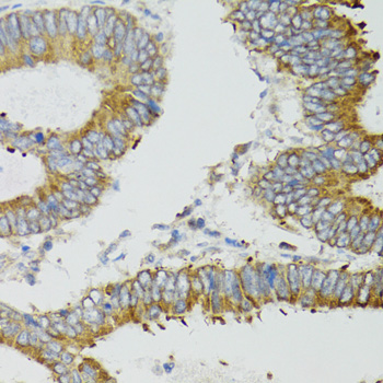
    Immunohistochemistry of paraffin-embedded human colon carcinoma using MT-ND5 antibody at dilution of 1:100 (40x lens).

    Immunohistochemistry - MT-ND5 Polyclonal Antibody

    Immunohistochemistry - MT-ND5 Polyclonal Antibody

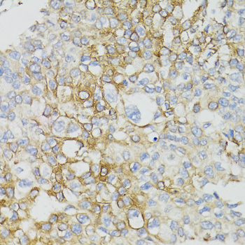
    Immunohistochemistry of paraffin-embedded human prostate cancer using MT-ND5 antibody at dilution of 1:100 (40x lens).

  • Background
    Core subunit of the mitochondrial membrane respiratory chain NADH dehydrogenase (Complex I) that is believed to belong to the minimal assembly required for catalysis. Complex I functions in the transfer of electrons from NADH to the respiratory chain. The immediate electron acceptor for the enzyme is believed to be ubiquinone (By similarity).

Please note: All products are "FOR RESEARCH USE ONLY AND ARE NOT INTENDED FOR DIAGNOSTIC OR THERAPEUTIC USE"