MSI2 antibody

Cat.#: 112870

Size:

Special Price 239.0 USD

Availability: In Stock
- +

Add to cart to get an online quotation

Product Information

  • Product Name
    MSI2 antibody
  • Documents
  • Description
    MSI2 Rabbit Polyclonal antibody. Positive IHC detected in human ovary tumor tissue, human gliomas tissue. Positive WB detected in mouse brain tissue, C6 cells, COLO 320 cells, MCF-7 cells, PC-12 cells. Observed molecular weight by Western-blot: 37-40 kDa
  • Tested applications
    ELISA, WB, IHC
  • Species reactivity
    Human, Mouse, Rat; other species not tested.
  • Alternative names
    FLJ36569 antibody; MSI2 antibody; MSI2H antibody; Musashi 2 antibody; musashi homolog 2 (Drosophila) antibody
  • Immunogen
  • Isotype
    Rabbit IgG
  • Preparation
    This antibody was obtained by immunization of MSI2 recombinant protein (Accession Number: NM_138962). Purification method: Antigen affinity purified.
  • Clonality
    Polyclonal
  • Formulation
    PBS with 0.1% sodium azide and 50% glycerol pH 7.3.
  • Storage instructions
    Store at -20℃. DO NOT ALIQUOT
  • Applications

    Recommended Dilution:

    WB: 1:200-1:2000

    IHC: 1:10-1:100

  • Validations

    mouse brain tissue were subjected to SDS PAGE followed by western blot with Catalog No:112870(Musashi-2 antibody) at dilution of 1:500

    mouse brain tissue were subjected to SDS PAGE followed by western blot with Catalog No:112870(Musashi-2 antibody) at dilution of 1:500

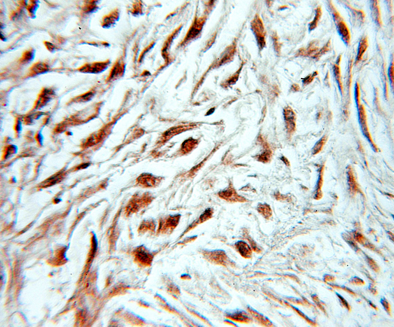
    Immunohistochemical of paraffin-embedded human ovary tumor using Catalog No:112870(Musashi-2 antibody) at dilution of 1:10 (under 10x lens)

    Immunohistochemical of paraffin-embedded human ovary tumor using Catalog No:112870(Musashi-2 antibody) at dilution of 1:10 (under 10x lens)

  • Background
    MSI2 is an RNA-binding protein that regulates the expression of target mRNAs at the translation level. It binds to RNA via 2 ribonucleoprotein-type RNA recognition motifs in their N-termini, to consensus motifs in mRNAs to inhibit transcription. It may play a role in the proliferation and maintenance of stem cells in the central nervous system. MSI2 can regulate normal hematopoiesis and promote aggressive myeloid leukemia
  • References
    • Moreira AL, Gonen M, Rekhtman N, Downey RJ. Progenitor stem cell marker expression by pulmonary carcinomas. Modern pathology : an official journal of the United States and Canadian Academy of Pathology, Inc. 23(6):889-95. 2010.
    • Zhang LF, Lou JT, Lu MH. Suppression of miR-199a maturation by HuR is crucial for hypoxia-induced glycolytic switch in hepatocellular carcinoma. The EMBO journal. 34(21):2671-85. 2015.

Please note: All products are "FOR RESEARCH USE ONLY AND ARE NOT INTENDED FOR DIAGNOSTIC OR THERAPEUTIC USE"