MOCS3 Polyclonal Antibody

Cat.#: 165331

Special Price 226.5 USD

Availability: In Stock
- +

Add to cart to get an online quotation

Product Information

  • Product Name
    MOCS3 Polyclonal Antibody
  • Documents
  • Description
    Polyclonal antibody to MOCS3
  • Tested applications
    WB, IHC, IF
  • Species reactivity
    Human, Mouse, Rat
  • Alternative names
    MOCS3 antibody; UBA4 antibody; molybdenum cofactor synthesis 3 antibody
  • Isotype
    Rabbit IgG
  • Preparation
    Antigen: Recombinant fusion protein containing a sequence corresponding to amino acids 271-460 of human MOCS3 (NP_055299.1).
  • Clonality
    Polyclonal
  • Formulation
    PBS with 0.02% sodium azide, 50% glycerol, pH7.3.
  • Storage instructions
    Store at -20℃. Avoid freeze / thaw cycles.
  • Applications
    WB 1:500 - 1:2000
    IHC 1:50 - 1:200
    IF 1:50 - 1:200
  • Validations

    Western blot - MOCS3 Polyclonal Antibody

    Western blot - MOCS3 Polyclonal Antibody

    Western blot analysis of extracts of various cell lines, using MOCS3 antibody at 1:1000 dilution.Secondary antibody: HRP Goat Anti-Rabbit IgG (H+L) at 1:10000 dilution.Lysates/proteins: 25ug per lane.Blocking buffer: 3% nonfat dry milk in TBST.Detection: ECL Basic Kit .Exposure time: 90s.

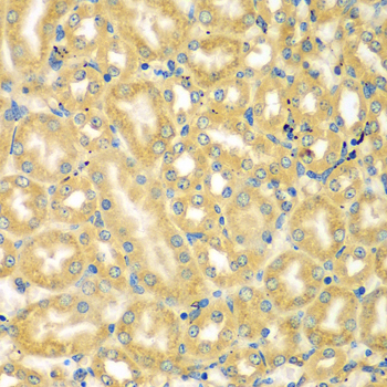
    Immunohistochemistry - MOCS3 Polyclonal Antibody

    Immunohistochemistry - MOCS3 Polyclonal Antibody

    Immunohistochemistry of paraffin-embedded mouse kidney using MOCS3 antibody at dilution of 1:100 (40x lens).

    Immunofluorescence - MOCS3 Polyclonal Antibody

    Immunofluorescence - MOCS3 Polyclonal Antibody

    Immunofluorescence analysis of A549 cells using MOCS3 antibody . Blue: DAPI for nuclear staining.

  • Background
    Plays a central role in 2-thiolation of mcm(5)S(2)U at tRNA wobble positions of cytosolic tRNA(Lys), tRNA(Glu) and tRNA(Gln). Also essential during biosynthesis of the molybdenum cofactor. Acts by mediating the C-terminal thiocarboxylation of sulfur carriers URM1 and MOCS2A. Its N-terminus first activates URM1 and MOCS2A as acyl-adenylates (-COAMP), then the persulfide sulfur on the catalytic cysteine is transferred to URM1 and MOCS2A to form thiocarboxylation (-COSH) of their C-terminus. The reaction probably involves hydrogen sulfide that is generated from the persulfide intermediate and that acts as nucleophile towards URM1 and MOCS2A. Subsequently, a transient disulfide bond is formed. Does not use thiosulfate as sulfur donor; NFS1 probably acting as a sulfur donor for thiocarboxylation reactions.

Please note: All products are "FOR RESEARCH USE ONLY AND ARE NOT INTENDED FOR DIAGNOSTIC OR THERAPEUTIC USE"