-
Product Name
MOBKL3 antibody
- Documents
-
Description
MOBKL3 Rabbit Polyclonal antibody. Positive IHC detected in human colon cancer tissue, human stomach tissue. Positive IP detected in K-562 cells. Positive WB detected in K-562 cells. Observed molecular weight by Western-blot: 24 kDa
-
Tested applications
ELISA, WB, IHC, IP
-
Species reactivity
Human,Mouse,Rat; other species not tested.
-
Alternative names
2C4D antibody; CGI 95 antibody; Class II mMOB1 antibody; MOB1 antibody; Mob1 homolog 3 antibody; MOB3 antibody; MOBKL3 antibody; PREI3 antibody; Preimplantation protein 3 antibody
-
Isotype
Rabbit IgG
-
Preparation
This antibody was obtained by immunization of MOBKL3 recombinant protein (Accession Number: NM_015387). Purification method: Antigen affinity purified.
-
Clonality
Polyclonal
-
Formulation
PBS with 0.1% sodium azide and 50% glycerol pH 7.3.
-
Storage instructions
Store at -20℃. DO NOT ALIQUOT
-
Applications
Recommended Dilution:
WB: 1:200-1:2000
IP: 1:200-1:1000
IHC: 1:20-1:200
-
Validations
K-562 cells were subjected to SDS PAGE followed by western blot with Catalog No:112722(MOBKL3 antibody) at dilution of 1:200
IP Result of anti-MOBKL3 (IP:Catalog No:112722, 4ug; Detection:Catalog No:112722 1:300) with K-562 cells lysate 4000ug.
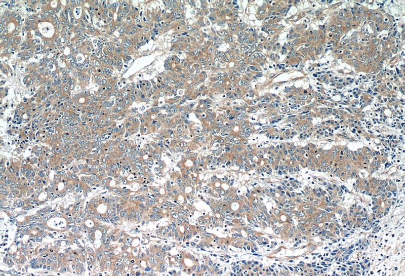
Immunohistochemistry of paraffin-embedded human colon cancer tissue slide using Catalog No:112722(MOBKL3 Antibody) at dilution of 1:50 (under 10x lens)
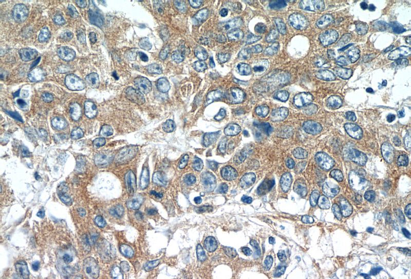
Immunohistochemistry of paraffin-embedded human colon cancer tissue slide using Catalog No:112722(MOBKL3 Antibody) at dilution of 1:50 (under 40x lens)
-
Background
MOBKL3 represents MOB1, Mps One Binder kinase activator-like 3 (yeast)
Related Products / Services
Please note: All products are "FOR RESEARCH USE ONLY AND ARE NOT INTENDED FOR DIAGNOSTIC OR THERAPEUTIC USE"