-
Product Name
MMP10 Polyclonal Antibody
- Documents
-
Description
Polyclonal antibody to MMP10
-
Tested applications
WB, IHC, IF
-
Species reactivity
Human, Mouse, Rat
-
Alternative names
MMP10 antibody; SL-2 antibody; STMY2 antibody; stromelysin-2 antibody
-
Isotype
Rabbit IgG
-
Preparation
Antigen: A synthetic peptide of human MMP10
-
Clonality
Polyclonal
-
Formulation
PBS with 0.02% sodium azide, 50% glycerol, pH7.3.
-
Storage instructions
Store at -20℃. Avoid freeze / thaw cycles.
-
Applications
WB 1:500 - 1:2000
IHC 1:50 - 1:200
IF 1:50 - 1:200 -
Validations
Western blot - MMP10 Polyclonal Antibody
Western blot analysis of extracts of various cell lines, using MMP10 antibody at 1:400 dilution.Secondary antibody: HRP Goat Anti-Rabbit IgG (H+L) at 1:10000 dilution.Lysates/proteins: 25ug per lane.Blocking buffer: 3% nonfat dry milk in TBST.
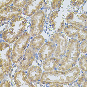
Immunohistochemistry - MMP10 Polyclonal Antibody
Immunohistochemistry of paraffin-embedded rat kidney using MMP10 antibody at dilution of 1:100 (40x lens).
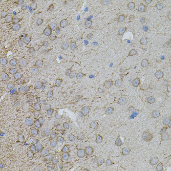
Immunohistochemistry - MMP10 Polyclonal Antibody
Immunohistochemistry of paraffin-embedded mouse brain using MMP10 antibody at dilution of 1:100 (40x lens).
-
Background
Can degrade fibronectin, gelatins of type I, III, IV, and V; weakly collagens III, IV, and V. Activates procollagenase.
Related Products / Services
Please note: All products are "FOR RESEARCH USE ONLY AND ARE NOT INTENDED FOR DIAGNOSTIC OR THERAPEUTIC USE"