MKS1 antibody

Cat.#: 112670

Size:

Special Price 239.0 USD

Availability: In Stock
- +

Add to cart to get an online quotation

Product Information

  • Product Name
    MKS1 antibody
  • Documents
  • Description
    MKS1 Rabbit Polyclonal antibody. Positive IF detected in hTERT-RPE1 cells and Mouse embryonic fibroblasts. Positive IHC detected in human liver cancer tissue, human ovary tissue. Positive WB detected in mouse brain tissue, HEK-293 cells, HeLa cells, mouse uterus tissue, SH-SY5Y cells. Positive IP detected in HEK-293 cells. Observed molecular weight by Western-blot: 65-70 kDa
  • Tested applications
    ELISA, WB, IHC, IF, IP
  • Species reactivity
    Human,Mouse,Rat; other species not tested.
  • Alternative names
    BBS13 antibody; FLJ20345 antibody; Meckel syndrome type 1 protein antibody; Meckel syndrome antibody; type 1 antibody; MES antibody; MKS antibody; MKS1 antibody
  • Isotype
    Rabbit IgG
  • Preparation
    This antibody was obtained by immunization of MKS1 recombinant protein (Accession Number: BC010061). Purification method: Antigen affinity purified.
  • Clonality
    Polyclonal
  • Formulation
    PBS with 0.02% sodium azide and 50% glycerol pH 7.3.
  • Storage instructions
    Store at -20℃. DO NOT ALIQUOT
  • Applications

    Recommended Dilution:

    WB: 1:500-1:5000

    IP: 1:500-1:5000

    IHC: 1:20-1:200

    IF: 1:20-1:200

  • Validations

    mouse brain tissue were subjected to SDS PAGE followed by western blot with Catalog No:112670(BBS13 antibody) at dilution of 1:1000

    mouse brain tissue were subjected to SDS PAGE followed by western blot with Catalog No:112670(BBS13 antibody) at dilution of 1:1000

    IP Result of anti-BBS13 (IP:Catalog No:112670, 3ug; Detection:Catalog No:112670 1:1000) with HEK-293 cells lysate 4500ug.

    IP Result of anti-BBS13 (IP:Catalog No:112670, 3ug; Detection:Catalog No:112670 1:1000) with HEK-293 cells lysate 4500ug.

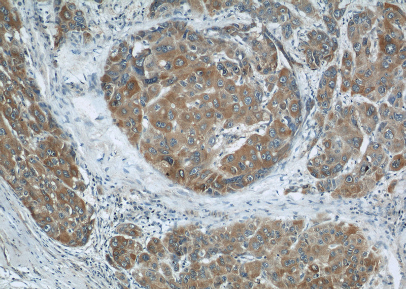
    Immunohistochemical of paraffin-embedded human liver cancer using Catalog No:112670(BBS13 antibody) at dilution of 1:50 (under 10x lens)

    Immunohistochemical of paraffin-embedded human liver cancer using Catalog No:112670(BBS13 antibody) at dilution of 1:50 (under 10x lens)

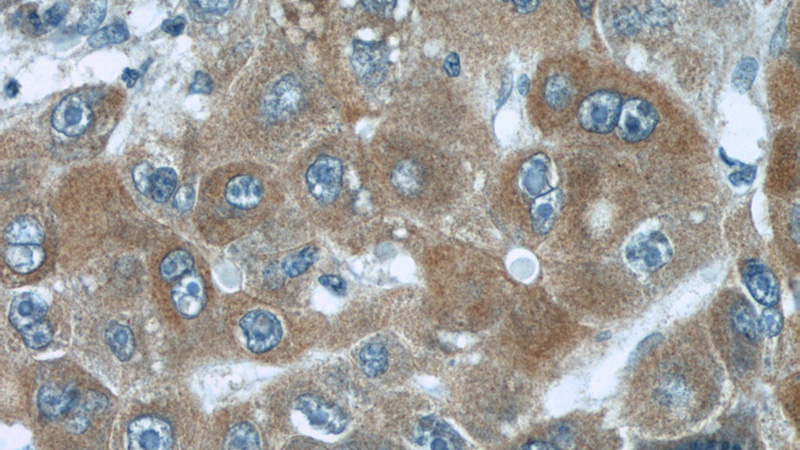
    Immunohistochemical of paraffin-embedded human liver cancer using Catalog No:112670(BBS13 antibody) at dilution of 1:50 (under 40x lens)

    Immunohistochemical of paraffin-embedded human liver cancer using Catalog No:112670(BBS13 antibody) at dilution of 1:50 (under 40x lens)

    IF result from Dr. Corbit, Kevin. anti-MKS1(Catalog No:112670) marks the transition zone of Human hTERT-RPE1 cells and Mouse embryonic fibroblasts.

    IF result from Dr. Corbit, Kevin. anti-MKS1(Catalog No:112670) marks the transition zone of Human hTERT-RPE1 cells and Mouse embryonic fibroblasts.

  • Background
    MKS1 (Meckel syndrome type 1 protein) is a 559-amino acid protein that contains a conserved B9 domain. It is a component of a large protein complex which localizes to the ciliary transition zone and regulates mammalian ciliogenesis and ciliary membrane composition (PMID: 21725307). MKS1 is required for ciliary structure and function, and is involved in centrosome migration to the apical cell surface during early ciliogenesis (PMID: 17185389; 19515853). Broad tissue expression of the MKS1 gene has been reported (PMID: 16415886). Defects in MKS1 are the cause of Meckel syndrome type 1 (MKS1), an autosomal recessive lethal malformation syndrome characterized by renal cystic dysplasia, central nervous system malformations, and hepatic developmental defects (PMID: 16415886). In addition, defects in MKS1 are also the cause of Bardet-Biedl syndrome type 13 (BBS13) (PMID: 18327255).
  • References
    • Garcia-Gonzalo FR, Corbit KC, Sirerol-Piquer MS. A transition zone complex regulates mammalian ciliogenesis and ciliary membrane composition. Nature genetics. 43(8):776-84. 2011.
    • Goetz SC, Liem KF, Anderson KV. The spinocerebellar ataxia-associated gene Tau tubulin kinase 2 controls the initiation of ciliogenesis. Cell. 151(4):847-58. 2012.
    • Nozawa YI, Yao E, Lin C. Fused (Stk36) is a ciliary protein required for central pair assembly and motile cilia orientation in the mammalian oviduct. Developmental dynamics : an official publication of the American Association of Anatomists. 242(11):1307-19. 2013.
    • Hall EA, Keighren M, Ford MJ. Acute versus chronic loss of mammalian Azi1/Cep131 results in distinct ciliary phenotypes. PLoS genetics. 9(12):e1003928. 2013.
    • Yang Y, Ran J, Liu M. CYLD mediates ciliogenesis in multiple organs by deubiquitinating Cep70 and inactivating HDAC6. Cell research. 24(11):1342-53. 2014.
    • Bangs FK, Schrode N, Hadjantonakis AK, Anderson KV. Lineage specificity of primary cilia in the mouse embryo. Nature cell biology. 17(2):113-22. 2015.
    • Roberson EC, Dowdle WE, Ozanturk A. TMEM231, mutated in orofaciodigital and Meckel syndromes, organizes the ciliary transition zone. The Journal of cell biology. 209(1):129-42. 2015.
    • Ran J, Yang Y, Li D, Liu M, Zhou J. Deacetylation of α-tubulin and cortactin is required for HDAC6 to trigger ciliary disassembly. Scientific reports. 5:12917. 2015.

Please note: All products are "FOR RESEARCH USE ONLY AND ARE NOT INTENDED FOR DIAGNOSTIC OR THERAPEUTIC USE"