MGAT1 Polyclonal Antibody

Cat.#: 164847

Special Price 226.5 USD

Availability: In Stock
- +

Add to cart to get an online quotation

Product Information

  • Product Name
    MGAT1 Polyclonal Antibody
  • Documents
  • Description
    Polyclonal antibody to MGAT1
  • Tested applications
    WB, IHC
  • Species reactivity
    Human, Mouse, Rat
  • Alternative names
    MGAT1 antibody; GLCNAC-TI antibody; GLCT1 antibody; GLYT1 antibody; GNT-1 antibody; GNT-I antibody; GnTI antibody; MGAT antibody; alpha-1,3-mannosyl-glycoprotein 2-beta-N-acetylglucosaminyltransferase antibody
  • Isotype
    Rabbit IgG
  • Preparation
    Antigen: Recombinant fusion protein containing a sequence corresponding to amino acids 156-445 of human MGAT1 (NP_001108092.1).
  • Clonality
    Polyclonal
  • Formulation
    PBS with 0.02% sodium azide, 50% glycerol, pH7.3.
  • Storage instructions
    Store at -20℃. Avoid freeze / thaw cycles.
  • Applications
    WB 1:500 - 1:2000
    IHC 1:50 - 1:200
  • Validations

    Western blot - MGAT1 Polyclonal Antibody

    Western blot - MGAT1 Polyclonal Antibody

    Western blot analysis of extracts of various cell lines, using MGAT1 antibody at 1:1000 dilution.Secondary antibody: HRP Goat Anti-Rabbit IgG (H+L) at 1:10000 dilution.Lysates/proteins: 25ug per lane.Blocking buffer: 3% nonfat dry milk in TBST.Detection: ECL Basic Kit .Exposure time: 90s.

    Immunohistochemistry - MGAT1 Polyclonal Antibody

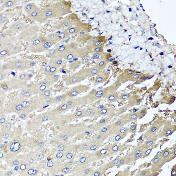
    Immunohistochemistry - MGAT1 Polyclonal Antibody

    Immunohistochemistry of paraffin-embedded human liver injury using MGAT1 antibody at dilution of 1:100 (40x lens).

    Immunohistochemistry - MGAT1 Polyclonal Antibody

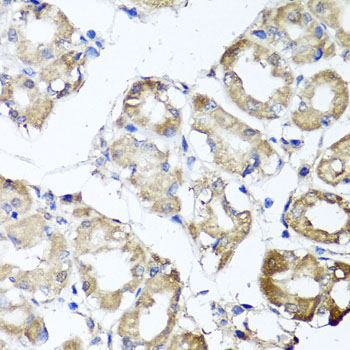
    Immunohistochemistry - MGAT1 Polyclonal Antibody

    Immunohistochemistry of paraffin-embedded human stomach using MGAT1 antibody at dilution of 1:100 (40x lens).

  • Background
    Initiates complex N-linked carbohydrate formation. Essential for the conversion of high-mannose to hybrid and complex N-glycans.

Please note: All products are "FOR RESEARCH USE ONLY AND ARE NOT INTENDED FOR DIAGNOSTIC OR THERAPEUTIC USE"