MEKK2 antibody

Cat.#: 112650

Size:

Special Price 239.0 USD

Availability: In Stock
- +

Add to cart to get an online quotation

Product Information

  • Product Name
    MEKK2 antibody
  • Documents
  • Description
    MEKK2 Rabbit Polyclonal antibody. Positive WB detected in HEK-293 cells, HeLa cells, K-562 cells. Positive IP detected in HEK-293 cells. Observed molecular weight by Western-blot: 65-75 kDa
  • Tested applications
    ELISA, WB, IP
  • Species reactivity
    Human,Mouse,Rat; other species not tested.
  • Alternative names
    MAP3K2 antibody; MAPK/ERK kinase kinase 2 antibody; MAPKKK2 antibody; MEK kinase 2 antibody; MEKK 2 antibody; MEKK2 antibody; MEKK2B antibody
  • Isotype
    Rabbit IgG
  • Preparation
    This antibody was obtained by immunization of Peptide (Accession Number: NM_006609). Purification method: Antigen affinity purified.
  • Clonality
    Polyclonal
  • Formulation
    0.1M NaHCO3, 0.1M glycine, 0.02% sodium azide and 50% glycerol pH 7.3.
  • Storage instructions
    Store at -20℃. DO NOT ALIQUOT
  • Applications

    Recommended Dilution:

    WB: 1:200-1:2000

    IP: 1:200-1:1000

  • Validations

    HEK-293 cells were subjected to SDS PAGE followed by western blot with Catalog No:112650(MAP3K2 antibody) at dilution of 1:1000

    HEK-293 cells were subjected to SDS PAGE followed by western blot with Catalog No:112650(MAP3K2 antibody) at dilution of 1:1000

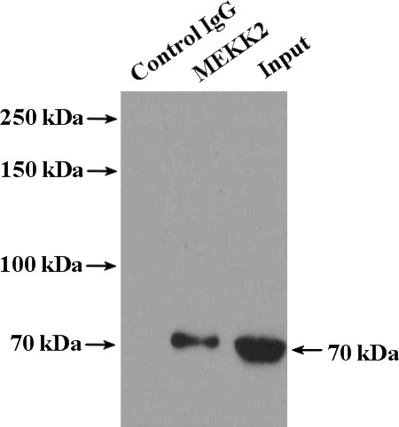
    IP Result of anti-MAP3K2 (IP:Catalog No:112650, 4ug; Detection:Catalog No:112650 1:300) with HEK-293 cells lysate 3200ug.

    IP Result of anti-MAP3K2 (IP:Catalog No:112650, 4ug; Detection:Catalog No:112650 1:300) with HEK-293 cells lysate 3200ug.

  • Background
    MAP3K2, also named as MEKK2 and MEKK2B, belongs to the protein kinase superfamily, STE Ser/Thr protein kinase family and MAP kinase kinase kinase subfamily. It is a component of a protein kinase signal transduction cascade. MAP3K2 mediates activation of the NF-kappa-B, AP1 and DDIT3 transcriptional regulators. The antibody is specific to MAP3K2.

Please note: All products are "FOR RESEARCH USE ONLY AND ARE NOT INTENDED FOR DIAGNOSTIC OR THERAPEUTIC USE"