-
Product Name
MEIS2 antibody
- Documents
-
Description
MEIS2 Rabbit Polyclonal antibody. Positive WB detected in Jurkat cells, PC-3 cells. Positive IHC detected in human prostate cancer tissue. Observed molecular weight by Western-blot: 56kd
-
Tested applications
ELISA, IHC, WB
-
Species reactivity
Human,Mouse,Rat; other species not tested.
-
Alternative names
Homeobox protein Meis2 antibody; HsT18361 antibody; Meis homeobox 2 antibody; Meis1 related protein 1 antibody; MEIS2 antibody; MRG1 antibody
-
Isotype
Rabbit IgG
-
Preparation
This antibody was obtained by immunization of MEIS2 recombinant protein (Accession Number: NM_002399). Purification method: Antigen affinity purified.
-
Clonality
Polyclonal
-
Formulation
PBS with 0.1% sodium azide and 50% glycerol pH 7.3.
-
Storage instructions
Store at -20℃. DO NOT ALIQUOT
-
Applications
Recommended Dilution:
WB: 1:200-1:2000
IHC: 1:20-1:200
-
Validations
Jurkat cells were subjected to SDS PAGE followed by western blot with Catalog No:112640(MEIS2 antibody) at dilution of 1:500
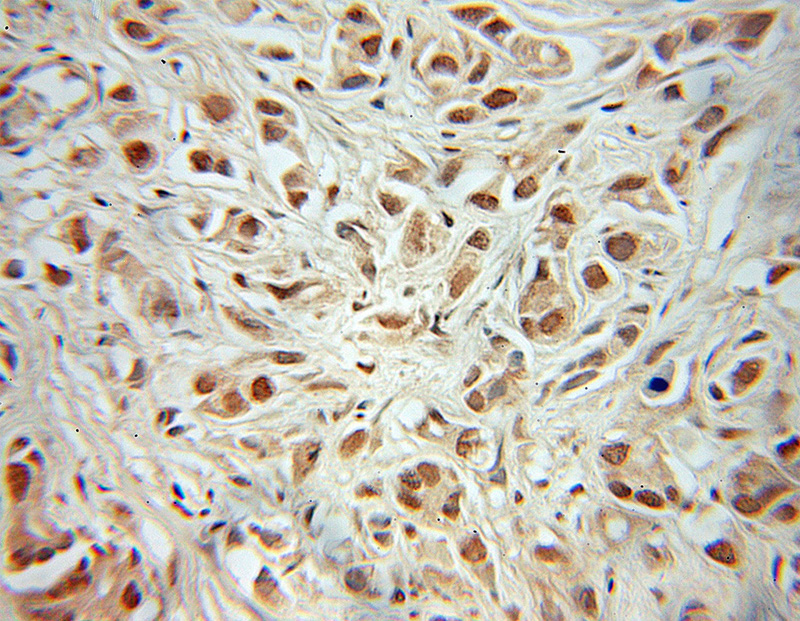
Immunohistochemical of paraffin-embedded human prostate cancer using Catalog No:112640(MEIS2 antibody) at dilution of 1:50 (under 10x lens)
-
Background
MEIS2, also named as Meis1-related protein 1 or MRG1, is a 477 amino acid protein, which contains one homeobox DNA-binding domain and belongs to the TALE/MEIS homeobox family. MEIS2 is expressed in various tissues and at high level in the lymphoid organs of hematopoietic tissues. MEIS2 localizes in the nucleus and is involved in transcriptional regulation. MEIS2 is a critical downstream effector within an essential homeoprotein network that serving a rate-limiting regulatory role in MLL leukemogenesis. MEIS2 as midbrain specific marker is upregulated concomitantly with the morphological transformation of hindbrain to midbrain.
-
References
- Russell MK, Longoni M, Wells J. Congenital diaphragmatic hernia candidate genes derived from embryonic transcriptomes. Proceedings of the National Academy of Sciences of the United States of America. 109(8):2978-83. 2012.
Related Products / Services
Please note: All products are "FOR RESEARCH USE ONLY AND ARE NOT INTENDED FOR DIAGNOSTIC OR THERAPEUTIC USE"