MCM4 Polyclonal Antibody

Cat.#: 163981

Special Price 226.5 USD

Availability: In Stock
- +

Add to cart to get an online quotation

Product Information

  • Product Name
    MCM4 Polyclonal Antibody
  • Documents
  • Description
    Polyclonal antibody to MCM4
  • Tested applications
    WB, IHC
  • Species reactivity
    Human, Mouse, Rat
  • Alternative names
    MCM4 antibody; CDC21 antibody; CDC54 antibody; NKCD antibody; NKGCD antibody; P1-CDC21 antibody; hCdc21 antibody; DNA replication licensing factor MCM4 antibody
  • Isotype
    Rabbit IgG
  • Preparation
    Antigen: A synthetic peptide of human MCM4
  • Clonality
    Polyclonal
  • Formulation
    PBS with 0.02% sodium azide, 50% glycerol, pH7.3.
  • Storage instructions
    Store at -20℃. Avoid freeze / thaw cycles.
  • Applications
    WB 1:500 - 1:2000
    IHC 1:50 - 1:200
  • Validations

    Western blot - MCM4 Polyclonal Antibody

    Western blot - MCM4 Polyclonal Antibody

    Western blot analysis of extracts of various cell lines, using MCM4 antibody at 1:400 dilution.Secondary antibody: HRP Goat Anti-Rabbit IgG (H+L) at 1:10000 dilution.Lysates/proteins: 25ug per lane.Blocking buffer: 3% nonfat dry milk in TBST.Detection: ECL Basic Kit .Exposure time: 90s.

    Immunohistochemistry - MCM4 Polyclonal Antibody

    Immunohistochemistry - MCM4 Polyclonal Antibody

    Immunohistochemistry of paraffin-embedded human B cell lymphoma using MCM4 Antibody at dilution of 1:200 (40x lens).

    Immunohistochemistry - MCM4 Polyclonal Antibody

    Immunohistochemistry - MCM4 Polyclonal Antibody

    Immunohistochemistry of paraffin-embedded rat pancreas using MCM4 Antibody at dilution of 1:200 (40x lens).

    Immunohistochemistry - MCM4 Polyclonal Antibody

    Immunohistochemistry - MCM4 Polyclonal Antibody

    Immunohistochemistry of paraffin-embedded mouse brain using MCM4 Antibody at dilution of 1:200 (40x lens).

    Immunohistochemistry - MCM4 Polyclonal Antibody

    Immunohistochemistry - MCM4 Polyclonal Antibody

    Immunohistochemistry of paraffin-embedded human gastric cancer using MCM4 Antibody at dilution of 1:200 (40x lens).

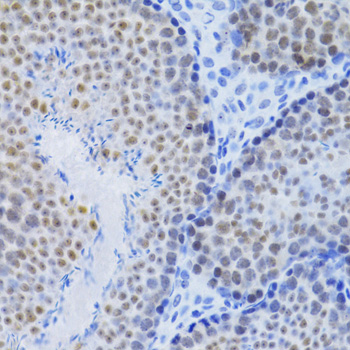
    Immunohistochemistry - MCM4 Polyclonal Antibody

    Immunohistochemistry - MCM4 Polyclonal Antibody

    Immunohistochemistry of paraffin-embedded rat pancreas using MCM4 Antibody at dilution of 1:100 (40x lens).

  • Background
    Acts as component of the MCM2-7 complex (MCM complex) which is the putative replicative helicase essential for 'once per cell cycle' DNA replication initiation and elongation in eukaryotic cells. The active ATPase sites in the MCM2-7 ring are formed through the interaction surfaces of two neighboring subunits such that a critical structure of a conserved arginine finger motif is provided in trans relative to the ATP-binding site of the Walker A box of the adjacent subunit. The six ATPase active sites, however, are likely to contribute differentially to the complex helicase activity.

Please note: All products are "FOR RESEARCH USE ONLY AND ARE NOT INTENDED FOR DIAGNOSTIC OR THERAPEUTIC USE"