MBD2 Polyclonal Antibody

Cat.#: 163736

Special Price 226.5 USD

Availability: In Stock
- +

Add to cart to get an online quotation

Product Information

  • Product Name
    MBD2 Polyclonal Antibody
  • Documents
  • Description
    Polyclonal antibody to MBD2
  • Tested applications
    WB, IHC, IF
  • Species reactivity
    Human, Mouse, Rat
  • Alternative names
    MBD2 antibody; DMTase antibody; NY-CO-41 antibody; methyl-CpG-binding domain protein 2 antibody
  • Isotype
    Rabbit IgG
  • Preparation
    Antigen: Recombinant fusion protein containing a sequence corresponding to amino acids 202-411 of human MBD2 (NP_003918.1).
  • Clonality
    Polyclonal
  • Formulation
    PBS with 0.02% sodium azide, 50% glycerol, pH7.3.
  • Storage instructions
    Store at -20℃. Avoid freeze / thaw cycles.
  • Applications
    WB 1:200 - 1:2000
    IHC 1:50 - 1:200
    IF 1:50 - 1:200
  • Validations

    Western blot - MBD2 Polyclonal Antibody

    Western blot - MBD2 Polyclonal Antibody

    Western blot analysis of extracts of various cell lines, using MBD2 antibody at 1:1000 dilution.Secondary antibody: HRP Goat Anti-Rabbit IgG (H+L) at 1:10000 dilution.Lysates/proteins: 25ug per lane.Blocking buffer: 3% nonfat dry milk in TBST.Detection: ECL Basic Kit .Exposure time: 1s.

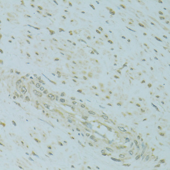
    Immunohistochemistry - MBD2 Polyclonal Antibody

    Immunohistochemistry - MBD2 Polyclonal Antibody

    Immunohistochemistry of paraffin-embedded rat lung using MBD2 antibody at dilution of 1:100 (40x lens).

    Immunohistochemistry - MBD2 Polyclonal Antibody

    Immunohistochemistry - MBD2 Polyclonal Antibody

    Immunohistochemistry of paraffin-embedded rat brain using MBD2 antibody at dilution of 1:100 (40x lens).

    Immunohistochemistry - MBD2 Polyclonal Antibody

    Immunohistochemistry - MBD2 Polyclonal Antibody

    Immunohistochemistry of paraffin-embedded human uterine cancer using MBD2 antibody at dilution of 1:100 (40x lens).

    Immunohistochemistry - MBD2 Polyclonal Antibody

    Immunohistochemistry - MBD2 Polyclonal Antibody

    Immunohistochemistry of paraffin-embedded mouse brain using MBD2 antibody at dilution of 1:100 (40x lens).

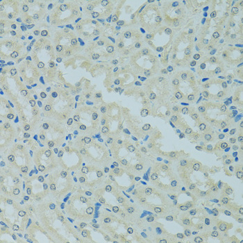
    Immunohistochemistry - MBD2 Polyclonal Antibody

    Immunohistochemistry - MBD2 Polyclonal Antibody

    Immunohistochemistry of paraffin-embedded mouse kidney using MBD2 antibody at dilution of 1:100 (40x lens).

  • Background
    Binds CpG islands in promoters where the DNA is methylated at position 5 of cytosine within CpG dinucleotides. Binds hemimethylated DNA as well. Recruits histone deacetylases and DNA methyltransferases. Acts as transcriptional repressor and plays a role in gene silencing. Functions as a scaffold protein, targeting GATAD2A and GATAD2B to chromatin to promote repression. May enhance the activation of some unmethylated cAMP-responsive promoters.

Please note: All products are "FOR RESEARCH USE ONLY AND ARE NOT INTENDED FOR DIAGNOSTIC OR THERAPEUTIC USE"