MAT2B antibody

Cat.#: 112494

Size:

Special Price 239.0 USD

Availability: In Stock
- +

Add to cart to get an online quotation

Product Information

  • Product Name
    MAT2B antibody
  • Documents
  • Description
    MAT2B Rabbit Polyclonal antibody. Positive WB detected in HepG2 cells, HEK-293 cells, Jurkat cells, mouse brain tissue, mouse testis tissue. Positive IP detected in HepG2 cells. Positive IF detected in HepG2 cells. Positive IHC detected in human lung tissue, human kidney tissue. Observed molecular weight by Western-blot: 38 kDa
  • Tested applications
    ELISA, WB, IHC, IF, IP
  • Species reactivity
    Human,Mouse,Rat; other species not tested.
  • Alternative names
    MAT II antibody; MAT II beta antibody; MAT2B antibody; MATIIbeta antibody; Nbla02999 antibody; SDR23E1 antibody; TGR antibody; UNQ2435/PRO4995 antibody
  • Immunogen
  • Isotype
    Rabbit IgG
  • Preparation
    This antibody was obtained by immunization of MAT2B recombinant protein (Accession Number: NM_182796). Purification method: Antigen affinity purified.
  • Clonality
    Polyclonal
  • Formulation
    PBS with 0.02% sodium azide and 50% glycerol pH 7.3.
  • Storage instructions
    Store at -20℃. DO NOT ALIQUOT
  • Applications

    Recommended Dilution:

    WB: 1:500-1:5000

    IP: 1:200-1:2000

    IHC: 1:20-1:200

    IF: 1:10-1:100

  • Validations

    HepG2 cells were subjected to SDS PAGE followed by western blot with Catalog No:112494(MAT2B antibody) at dilution of 1:800

    HepG2 cells were subjected to SDS PAGE followed by western blot with Catalog No:112494(MAT2B antibody) at dilution of 1:800

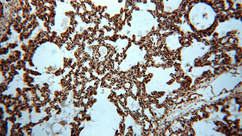
    Immunohistochemical of paraffin-embedded human lung using Catalog No:112494(MAT2B antibody) at dilution of 1:100 (under 10x lens)

    Immunohistochemical of paraffin-embedded human lung using Catalog No:112494(MAT2B antibody) at dilution of 1:100 (under 10x lens)

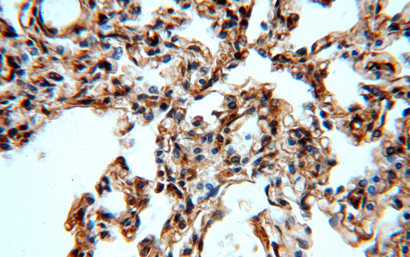
    Immunohistochemical of paraffin-embedded human lung using Catalog No:112494(MAT2B antibody) at dilution of 1:100 (under 40x lens)

    Immunohistochemical of paraffin-embedded human lung using Catalog No:112494(MAT2B antibody) at dilution of 1:100 (under 40x lens)

    Immunofluorescent analysis of HepG2 cells, using MAT2B antibody Catalog No:112494 at 1:25 dilution and Rhodamine-labeled goat anti-rabbit IgG (red).

    Immunofluorescent analysis of HepG2 cells, using MAT2B antibody Catalog No:112494 at 1:25 dilution and Rhodamine-labeled goat anti-rabbit IgG (red).

    IP Result of anti-MAT2B (IP:Catalog No:112494, 4ug; Detection:Catalog No:112494 1:500) with HepG2 cells lysate 1000ug.

    IP Result of anti-MAT2B (IP:Catalog No:112494, 4ug; Detection:Catalog No:112494 1:500) with HepG2 cells lysate 1000ug.

  • Background
    MAT2B represents methionine adenosyltransferase II, beta
  • References
    • Li X, Sun Q, Li X. Dietary betaine supplementation to gestational sows enhances hippocampal IGF2 expression in newborn piglets with modified DNA methylation of the differentially methylated regions. European journal of nutrition. 54(7):1201-10. 2015.
    • Jia Y, Song H, Gao G, Cai D, Yang X, Zhao R. Maternal Betaine Supplementation during Gestation Enhances Expression of mtDNA-Encoded Genes through D-Loop DNA Hypomethylation in the Skeletal Muscle of Newborn Piglets. Journal of agricultural and food chemistry. 63(46):10152-60. 2015.

Please note: All products are "FOR RESEARCH USE ONLY AND ARE NOT INTENDED FOR DIAGNOSTIC OR THERAPEUTIC USE"