MAS1 Polyclonal Antibody

Cat.#: 165712

Special Price 226.5 USD

Availability: In Stock
- +

Add to cart to get an online quotation

Product Information

  • Product Name
    MAS1 Polyclonal Antibody
  • Documents
  • Description
    Polyclonal antibody to MAS1
  • Tested applications
    WB, IHC
  • Species reactivity
    Human, Mouse, Rat
  • Alternative names
    MAS1 antibody; MAS antibody; MGRA antibody; proto-oncogene Mas antibody
  • Isotype
    Rabbit IgG
  • Preparation
    Antigen: Recombinant fusion protein containing a sequence corresponding to amino acids 246-325 of human MAS1 (NP_002368.1).
  • Clonality
    Polyclonal
  • Formulation
    PBS with 0.02% sodium azide, 50% glycerol, pH7.3.
  • Storage instructions
    Store at -20℃. Avoid freeze / thaw cycles.
  • Applications
    WB 1:500 - 1:2000
    IHC 1:50 - 1:200
  • Validations

    Western blot - MAS1 Polyclonal Antibody

    Western blot - MAS1 Polyclonal Antibody

    Western blot analysis of extracts of various cell lines, using MAS1 antibody at 1:1000 dilution.Secondary antibody: HRP Goat Anti-Rabbit IgG (H+L) at 1:10000 dilution.Lysates/proteins: 25ug per lane.Blocking buffer: 3% nonfat dry milk in TBST.Detection: ECL Basic Kit .Exposure time: 90s.

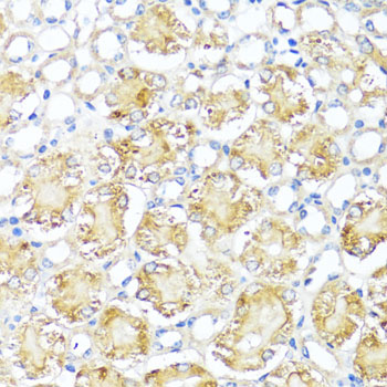
    Immunohistochemistry - MAS1 Polyclonal Antibody

    Immunohistochemistry - MAS1 Polyclonal Antibody

    Immunohistochemistry of paraffin-embedded mouse kidney using MAS1 antibody at dilution of 1:100 (40x lens).

  • Background
    Receptor for angiotensin 1-7 (By similarity). Acts specifically as a functional antagonist of AGTR1 (angiotensin-2 type 1 receptor), although it up-regulates AGTR1 receptor levels. Positive regulation of AGTR1 levels occurs through activation of the G-proteins GNA11 and GNAQ, and stimulation of the protein kinase C signaling cascade. The antagonist effect on AGTR1 function is probably due to AGTR1 being physically altered by MAS1.

Please note: All products are "FOR RESEARCH USE ONLY AND ARE NOT INTENDED FOR DIAGNOSTIC OR THERAPEUTIC USE"