MAGEA1 Polyclonal Antibody

Cat.#: 164527

Special Price 226.5 USD

Availability: In Stock
- +

Add to cart to get an online quotation

Product Information

  • Product Name
    MAGEA1 Polyclonal Antibody
  • Documents
  • Description
    Polyclonal antibody to MAGEA1
  • Tested applications
    WB, IHC, IF
  • Species reactivity
    Human
  • Alternative names
    MAGEA1 antibody; CT1.1 antibody; MAGE1 antibody; MAGE family member A1 antibody
  • Isotype
    Rabbit IgG
  • Preparation
    Antigen: Recombinant fusion protein containing a sequence corresponding to amino acids 1-309 of human MAGEA1 (NP_004979.3).
  • Clonality
    Polyclonal
  • Formulation
    PBS with 0.02% sodium azide, 50% glycerol, pH7.3.
  • Storage instructions
    Store at -20℃. Avoid freeze / thaw cycles.
  • Applications
    WB 1:500 - 1:2000
    IHC 1:50 - 1:200
    IF 1:50 - 1:100
  • Validations

    Western blot - MAGEA1 Polyclonal Antibody

    Western blot - MAGEA1 Polyclonal Antibody

    Western blot analysis of extracts of 22Rv1 cells, using MAGEA1 antibody at 1:1000 dilution.Secondary antibody: HRP Goat Anti-Rabbit IgG (H+L) at 1:10000 dilution.Lysates/proteins: 25ug per lane.Blocking buffer: 3% nonfat dry milk in TBST.Detection: ECL Basic Kit .Exposure time: 30s.

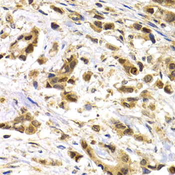
    Immunohistochemistry - MAGEA1 Polyclonal Antibody

    Immunohistochemistry - MAGEA1 Polyclonal Antibody

    Immunohistochemistry of paraffin-embedded human breast cancer using MAGEA1 antibody at dilution of 1:200 (40x lens).

    Immunohistochemistry - MAGEA1 Polyclonal Antibody

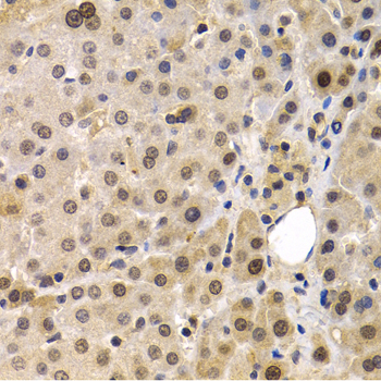
    Immunohistochemistry - MAGEA1 Polyclonal Antibody

    Immunohistochemistry of paraffin-embedded human liver cancer using MAGEA1 antibody at dilution of 1:200 (40x lens).

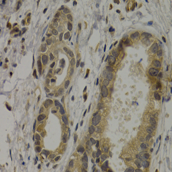
    Immunohistochemistry - MAGEA1 Polyclonal Antibody

    Immunohistochemistry - MAGEA1 Polyclonal Antibody

    Immunohistochemistry of paraffin-embedded human stomach cancer using MAGEA1 antibody at dilution of 1:200 (40x lens).

    Immunofluorescence - MAGEA1 Polyclonal Antibody

    Immunofluorescence - MAGEA1 Polyclonal Antibody

    Immunofluorescence analysis of HeLa cells using MAGEA1 antibody . Blue: DAPI for nuclear staining.

  • Background
    May be involved in transcriptional regulation through interaction with SNW1 and recruiting histone deactelyase HDAC1. May inhibit notch intracellular domain (NICD) transactivation. May play a role in embryonal development and tumor transformation or aspects of tumor progression. Antigen recognized on a melanoma by autologous cytolytic T-lymphocytes.

Please note: All products are "FOR RESEARCH USE ONLY AND ARE NOT INTENDED FOR DIAGNOSTIC OR THERAPEUTIC USE"