MAD1L1 Polyclonal Antibody

Cat.#: 160762

Special Price 226.5 USD

Availability: In Stock
- +

Add to cart to get an online quotation

Product Information

  • Product Name
    MAD1L1 Polyclonal Antibody
  • Documents
  • Description
    Polyclonal antibody to MAD1L1
  • Tested applications
    WB, IHC, IF
  • Species reactivity
    Human, Mouse
  • Alternative names
    MAD1L1 antibody; MAD1 antibody; PIG9 antibody; TP53I9 antibody; TXBP181 antibody; MAD1 mitotic arrest deficient like 1 antibody
  • Isotype
    Rabbit IgG
  • Preparation
    Antigen: Recombinant fusion protein containing a sequence corresponding to amino acids 360-700 of human MAD1L1 (NP_001013859.1).
  • Clonality
    Polyclonal
  • Formulation
    PBS with 0.02% sodium azide, 50% glycerol, pH7.3.
  • Storage instructions
    Store at -20℃. Avoid freeze / thaw cycles.
  • Applications
    WB 1:500 - 1:2000
    IHC 1:50 - 1:200
    IF 1:50 - 1:200
  • Validations

    Western blot - MAD1L1 Polyclonal Antibody

    Western blot - MAD1L1 Polyclonal Antibody

    Western blot analysis of extracts of various cell lines, using MAD1L1 antibody at 1:1000 dilution.Secondary antibody: HRP Goat Anti-Rabbit IgG (H+L) at 1:10000 dilution.Lysates/proteins: 25ug per lane.Blocking buffer: 3% nonfat dry milk in TBST.Detection: ECL Basic Kit .

    Immunohistochemistry - MAD1L1 Polyclonal Antibody

    Immunohistochemistry - MAD1L1 Polyclonal Antibody

    Immunohistochemistry of paraffin-embedded mouse liver using MAD1L1 antibody at dilution of 1:100 (40x lens).

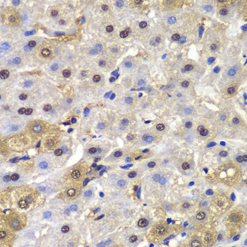
    Immunohistochemistry - MAD1L1 Polyclonal Antibody

    Immunohistochemistry - MAD1L1 Polyclonal Antibody

    Immunohistochemistry of paraffin-embedded human liver cancer using MAD1L1 antibody at dilution of 1:100 (40x lens).

    Immunofluorescence - MAD1L1 Polyclonal Antibody

    Immunofluorescence - MAD1L1 Polyclonal Antibody

    Immunofluorescence analysis of U2OS cells using MAD1L1 antibody .

  • Background
    Component of the spindle-assembly checkpoint that prevents the onset of anaphase until all chromosomes are properly aligned at the metaphase plate. May recruit MAD2L1 to unattached kinetochores. Has a role in the correct positioning of the septum. Required for anchoring MAD2L1 to the nuclear periphery. Binds to the TERT promoter and represses telomerase expression, possibly by interfering with MYC binding.

Please note: All products are "FOR RESEARCH USE ONLY AND ARE NOT INTENDED FOR DIAGNOSTIC OR THERAPEUTIC USE"