LY86 Polyclonal Antibody

Cat.#: 164758

Special Price 226.5 USD

Availability: In Stock
- +

Add to cart to get an online quotation

Product Information

  • Product Name
    LY86 Polyclonal Antibody
  • Documents
  • Description
    Polyclonal antibody to LY86
  • Tested applications
    WB, IHC
  • Species reactivity
    Human, Mouse
  • Alternative names
    LY86 antibody; MD-1 antibody; MD1 antibody; MMD-1 antibody; dJ80N2.1 antibody; lymphocyte antigen 86 antibody
  • Isotype
    Rabbit IgG
  • Preparation
    Antigen: Recombinant fusion protein containing a sequence corresponding to amino acids 21-162 of human LY86 (NP_004262.1).
  • Clonality
    Polyclonal
  • Formulation
    PBS with 0.02% sodium azide, 50% glycerol, pH7.3.
  • Storage instructions
    Store at -20℃. Avoid freeze / thaw cycles.
  • Applications
    WB 1:500 - 1:2000
    IHC 1:50 - 1:200
  • Validations

    Western blot - LY86 Polyclonal Antibody

    Western blot - LY86 Polyclonal Antibody

    Western blot analysis of extracts of various cell lines, using LY86 antibody at 1:1000 dilution.Secondary antibody: HRP Goat Anti-Rabbit IgG (H+L) at 1:10000 dilution.Lysates/proteins: 25ug per lane.Blocking buffer: 3% nonfat dry milk in TBST.

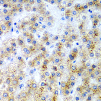
    Immunohistochemistry - LY86 Polyclonal Antibody

    Immunohistochemistry - LY86 Polyclonal Antibody

    Immunohistochemistry of paraffin-embedded human liver cancer using LY86 antibody at dilution of 1:200 (40x lens).

  • Background
    May cooperate with CD180 and TLR4 to mediate the innate immune response to bacterial lipopolysaccharide (LPS) and cytokine production. Important for efficient CD180 cell surface expression (By similarity).

Please note: All products are "FOR RESEARCH USE ONLY AND ARE NOT INTENDED FOR DIAGNOSTIC OR THERAPEUTIC USE"