LSM2 Polyclonal Antibody

Cat.#: 165647

Special Price 226.5 USD

Availability: In Stock
- +

Add to cart to get an online quotation

Product Information

  • Product Name
    LSM2 Polyclonal Antibody
  • Documents
  • Description
    Polyclonal antibody to LSM2
  • Tested applications
    WB, IHC, IF
  • Species reactivity
    Human
  • Alternative names
    LSM2 antibody; C6orf28 antibody; G7B antibody; YBL026W antibody; snRNP antibody; U6 snRNA-associated Sm-like protein LSm2 antibody
  • Isotype
    Rabbit IgG
  • Preparation
    Antigen: Recombinant fusion protein containing a sequence corresponding to amino acids 1-95 of human LSM2 (NP_067000.1).
  • Clonality
    Polyclonal
  • Formulation
    PBS with 0.02% sodium azide, 50% glycerol, pH7.3.
  • Storage instructions
    Store at -20℃. Avoid freeze / thaw cycles.
  • Applications
    WB 1:500 - 1:2000
    IHC 1:50 - 1:200
    IF 1:50 - 1:200
  • Validations

    Western blot - LSM2 Polyclonal Antibody

    Western blot - LSM2 Polyclonal Antibody

    Western blot analysis of extracts of various cell lines, using LSM2 antibody at 1:1000 dilution.Secondary antibody: HRP Goat Anti-Rabbit IgG (H+L) at 1:10000 dilution.Lysates/proteins: 25ug per lane.Blocking buffer: 3% nonfat dry milk in TBST.Detection: ECL Enhanced Kit .Exposure time: 30s.

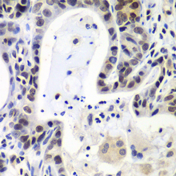
    Immunohistochemistry - LSM2 Polyclonal Antibody

    Immunohistochemistry - LSM2 Polyclonal Antibody

    Immunohistochemistry of paraffin-embedded human gastric cancer using LSM2 antibody at dilution of 1:100 (40x lens).

    Immunofluorescence - LSM2 Polyclonal Antibody

    Immunofluorescence - LSM2 Polyclonal Antibody

    Immunofluorescence analysis of U2OS cells using LSM2 antibody at dilution of 1:100. Blue: DAPI for nuclear staining.

  • Background
    Plays role in pre-mRNA splicing as component of the U4/U6-U5 tri-snRNP complex that is involved in spliceosome assembly, and as component of the precatalytic spliceosome (spliceosome B complex). The heptameric LSM2-8 complex binds specifically to the 3'-terminal U-tract of U6 snRNA.

Please note: All products are "FOR RESEARCH USE ONLY AND ARE NOT INTENDED FOR DIAGNOSTIC OR THERAPEUTIC USE"