LETMD1 Polyclonal Antibody

Cat.#: 163713

Special Price 226.5 USD

Availability: In Stock
- +

Add to cart to get an online quotation

Product Information

  • Product Name
    LETMD1 Polyclonal Antibody
  • Documents
  • Description
    Polyclonal antibody to LETMD1
  • Tested applications
    WB, IHC, IF
  • Species reactivity
    Human, Mouse, Rat
  • Alternative names
    LETMD1 antibody; 1110019O13Rik antibody; HCCR antibody; HCCR-1 antibody; HCCR-2 antibody; HCCR1 antibody; HCCR2 antibody; HCRR-2 antibody; LETM1 domain containing 1 antibody
  • Isotype
    Rabbit IgG
  • Preparation
    Antigen: Recombinant fusion protein containing a sequence corresponding to amino acids 161-360 of human LETMD1 (NP_056231.3).
  • Clonality
    Polyclonal
  • Formulation
    PBS with 0.02% sodium azide, 50% glycerol, pH7.3.
  • Storage instructions
    Store at -20℃. Avoid freeze / thaw cycles.
  • Applications
    WB 1:500 - 1:2000
    IHC 1:50 - 1:200
    IF 1:50 - 1:200
  • Validations

    Western blot - LETMD1 Polyclonal Antibody

    Western blot - LETMD1 Polyclonal Antibody

    Western blot analysis of extracts of various cell lines, using LETMD1 antibody at 1:1000 dilution.Secondary antibody: HRP Goat Anti-Rabbit IgG (H+L) at 1:10000 dilution.Lysates/proteins: 25ug per lane.Blocking buffer: 3% nonfat dry milk in TBST.Detection: ECL Basic Kit .Exposure time: 90s.

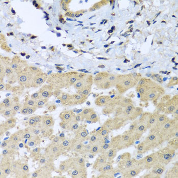
    Immunohistochemistry - LETMD1 Polyclonal Antibody

    Immunohistochemistry - LETMD1 Polyclonal Antibody

    Immunohistochemistry of paraffin-embedded human liver injury using LETMD1 antibody at dilution of 1:100 (40x lens).

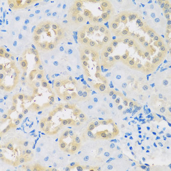
    Immunohistochemistry - LETMD1 Polyclonal Antibody

    Immunohistochemistry - LETMD1 Polyclonal Antibody

    Immunohistochemistry of paraffin-embedded rat kidney using LETMD1 antibody at dilution of 1:100 (40x lens).

  • Background
    Involved in tumorigenesis and may function as a negative regulator of the p53/TP53.

Please note: All products are "FOR RESEARCH USE ONLY AND ARE NOT INTENDED FOR DIAGNOSTIC OR THERAPEUTIC USE"