LCP1 Polyclonal Antibody

Cat.#: 161660

Special Price 226.5 USD

Availability: In Stock
- +

Add to cart to get an online quotation

Product Information

  • Product Name
    LCP1 Polyclonal Antibody
  • Documents
  • Description
    Polyclonal antibody to LCP1
  • Tested applications
    WB, IHC
  • Species reactivity
    Human, Mouse
  • Alternative names
    LCP1 antibody; CP64 antibody; HEL-S-37 antibody; L-PLASTIN antibody; LC64P antibody; LPL antibody; PLS2 antibody; plastin-2 antibody
  • Isotype
    Rabbit IgG
  • Preparation
    Antigen: Recombinant fusion protein containing a sequence corresponding to amino acids 368-627 of human LCP1 (NP_002289.2).
  • Clonality
    Polyclonal
  • Formulation
    PBS with 0.02% sodium azide, 50% glycerol, pH7.3.
  • Storage instructions
    Store at -20℃. Avoid freeze / thaw cycles.
  • Applications
    WB 1:500 - 1:2000
    IHC 1:50 - 1:200
  • Validations

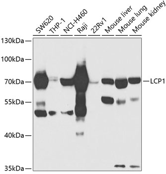
    Western blot - LCP1 Polyclonal Antibody

    Western blot - LCP1 Polyclonal Antibody

    Western blot analysis of extracts of various cell lines, using LCP1 antibody at 1:1000 dilution.Secondary antibody: HRP Goat Anti-Rabbit IgG (H+L) at 1:10000 dilution.Lysates/proteins: 25ug per lane.Blocking buffer: 3% nonfat dry milk in TBST.Detection: ECL Basic Kit .Exposure time: 5s.

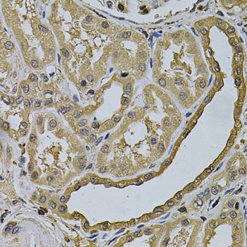
    Immunohistochemistry - LCP1 Polyclonal Antibody

    Immunohistochemistry - LCP1 Polyclonal Antibody

    Immunohistochemistry of paraffin-embedded human kidney using LCP1 Antibody at dilution of 1:100 (40x lens).

  • Background
    Actin-binding protein. Plays a role in the activation of T-cells in response to costimulation through TCR/CD3 and CD2 or CD28. Modulates the cell surface expression of IL2RA/CD25 and CD69.

Please note: All products are "FOR RESEARCH USE ONLY AND ARE NOT INTENDED FOR DIAGNOSTIC OR THERAPEUTIC USE"