LBR Polyclonal Antibody

Cat.#: 166630

Special Price 226.5 USD

Availability: In Stock
- +

Add to cart to get an online quotation

Product Information

  • Product Name
    LBR Polyclonal Antibody
  • Documents
  • Description
    Polyclonal antibody to LBR
  • Tested applications
    WB, IHC, IF
  • Species reactivity
    Human, Mouse, Rat
  • Alternative names
    LBR antibody; DHCR14B antibody; LMN2R antibody; PHA antibody; TDRD18 antibody; lamin-B receptor antibody
  • Isotype
    Rabbit IgG
  • Preparation
    Antigen: Recombinant fusion protein containing a sequence corresponding to amino acids 1-211 of human LBR (NP_002287.2).
  • Clonality
    Polyclonal
  • Formulation
    PBS with 0.02% sodium azide, 50% glycerol, pH7.3.
  • Storage instructions
    Store at -20℃. Avoid freeze / thaw cycles.
  • Applications
    WB 1:500 - 1:2000
    IHC 1:50 - 1:100
    IF 1:50 - 1:100
  • Validations

    Western blot - LBR Polyclonal Antibody

    Western blot - LBR Polyclonal Antibody

    Western blot analysis of extracts of various cell lines, using LBR antibody at 1:1000 dilution._Secondary antibody: HRP Goat Anti-Rabbit IgG (H+L) at 1:10000 dilution._Lysates/proteins: 25ug per lane._Blocking buffer: 3% nonfat dry milk in TBST._Detection: ECL Enhanced Kit ._Exposure time: 90s.

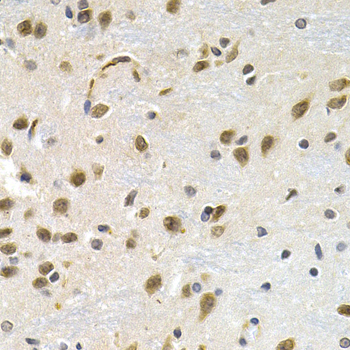
    Immunohistochemistry - LBR Polyclonal Antibody

    Immunohistochemistry - LBR Polyclonal Antibody

    Immunohistochemistry of paraffin-embedded rat brain using LBR antibody at dilution of 1:200 (40x lens).

  • Background
    Catalyzes the reduction of the C14-unsaturated bond of lanosterol, as part of the metabolic pathway leading to cholesterol biosynthesis. Plays a critical role in myeloid cell cholesterol biosynthesis which is essential to both myeloid cell growth and functional maturation (By similarity). Mediates the activation of NADPH oxidases, perhaps by maintaining critical levels of cholesterol required for membrane lipid raft formation during neutrophil differentiation (By similarity). Anchors the lamina and the heterochromatin to the inner nuclear membrane.

Please note: All products are "FOR RESEARCH USE ONLY AND ARE NOT INTENDED FOR DIAGNOSTIC OR THERAPEUTIC USE"