KPNA4 Polyclonal Antibody

Cat.#: 163665

Special Price 226.5 USD

Availability: In Stock
- +

Add to cart to get an online quotation

Product Information

  • Product Name
    KPNA4 Polyclonal Antibody
  • Documents
  • Description
    Polyclonal antibody to KPNA4
  • Tested applications
    WB, IHC, IF
  • Species reactivity
    Human, Mouse, Rat
  • Alternative names
    KPNA4 antibody; IPOA3 antibody; QIP1 antibody; SRP3 antibody; importin subunit alpha-3 antibody
  • Isotype
    Rabbit IgG
  • Preparation
    Antigen: Recombinant fusion protein containing a sequence corresponding to amino acids 1-240 of human KPNA4 (NP_002259.1).
  • Clonality
    Polyclonal
  • Formulation
    PBS with 0.02% sodium azide, 50% glycerol, pH7.3.
  • Storage instructions
    Store at -20℃. Avoid freeze / thaw cycles.
  • Applications
    WB 1:500 - 1:2000
    IHC 1:50 - 1:200
    IF 1:50 - 1:200
  • Validations

    Western blot - KPNA4 Polyclonal Antibody

    Western blot - KPNA4 Polyclonal Antibody

    Western blot analysis of extracts of various cell lines, using KPNA4 antibody at 1:1000 dilution.Secondary antibody: HRP Goat Anti-Rabbit IgG (H+L) at 1:10000 dilution.Lysates/proteins: 25ug per lane.Blocking buffer: 3% nonfat dry milk in TBST.

    Immunohistochemistry - KPNA4 Polyclonal Antibody

    Immunohistochemistry - KPNA4 Polyclonal Antibody

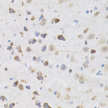
    Immunohistochemistry of paraffin-embedded rat brain using KPNA4 Antibody at dilution of 1:200 (40x lens).

    Immunohistochemistry - KPNA4 Polyclonal Antibody

    Immunohistochemistry - KPNA4 Polyclonal Antibody

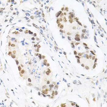
    Immunohistochemistry of paraffin-embedded human esophageal cancer using KPNA4 Antibody at dilution of 1:200 (40x lens).

    Immunohistochemistry - KPNA4 Polyclonal Antibody

    Immunohistochemistry - KPNA4 Polyclonal Antibody

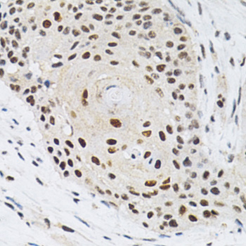
    Immunohistochemistry of paraffin-embedded human stomach using KPNA4 Antibody at dilution of 1:200 (40x lens).

    Immunohistochemistry - KPNA4 Polyclonal Antibody

    Immunohistochemistry - KPNA4 Polyclonal Antibody

    Immunohistochemistry of paraffin-embedded human colon using KPNA4 Antibody at dilution of 1:100 (40x lens).

    Immunohistochemistry - KPNA4 Polyclonal Antibody

    Immunohistochemistry - KPNA4 Polyclonal Antibody

    Immunohistochemistry of paraffin-embedded human esophagus using KPNA4 Antibody at dilution of 1:100 (40x lens).

    Immunohistochemistry - KPNA4 Polyclonal Antibody

    Immunohistochemistry - KPNA4 Polyclonal Antibody

    Immunohistochemistry of paraffin-embedded human gastric cancer using KPNA4 Antibody at dilution of 1:100 (40x lens).

  • Background
    Functions in nuclear protein import as an adapter protein for nuclear receptor KPNB1. Binds specifically and directly to substrates containing either a simple or bipartite NLS motif. Docking of the importin/substrate complex to the nuclear pore complex (NPC) is mediated by KPNB1 through binding to nucleoporin FxFG repeats and the complex is subsequently translocated through the pore by an energy requiring, Ran-dependent mechanism. At the nucleoplasmic side of the NPC, Ran binds to importin-beta and the three components separate and importin-alpha and -beta are re-exported from the nucleus to the cytoplasm where GTP hydrolysis releases Ran from importin. The directionality of nuclear import is thought to be conferred by an asymmetric distribution of the GTP- and GDP-bound forms of Ran between the cytoplasm and nucleus. In vitro, mediates the nuclear import of human cytomegalovirus UL84 by recognizing a non-classical NLS. In vitro, mediates the nuclear import of human cytomegalovirus UL84 by recognizing a non-classical NLS.

Please note: All products are "FOR RESEARCH USE ONLY AND ARE NOT INTENDED FOR DIAGNOSTIC OR THERAPEUTIC USE"