KIF23 Polyclonal Antibody

Cat.#: 160624

Special Price 226.5 USD

Availability: In Stock
- +

Add to cart to get an online quotation

Product Information

  • Product Name
    KIF23 Polyclonal Antibody
  • Documents
  • Description
    Polyclonal antibody to KIF23
  • Tested applications
    WB
  • Species reactivity
    Human, Mouse
  • Alternative names
    KIF23 antibody; CHO1 antibody; KNSL5 antibody; MKLP-1 antibody; MKLP1 antibody; kinesin family member 23 antibody
  • Isotype
    Rabbit IgG
  • Preparation
    Antigen: Recombinant fusion protein containing a sequence corresponding to amino acids 700-950 of human KIF23 (NP_612565.1).
  • Clonality
    Polyclonal
  • Formulation
    PBS with 0.02% sodium azide, 50% glycerol, pH7.3.
  • Storage instructions
    Store at -20℃. Avoid freeze / thaw cycles.
  • Applications
    WB 1:500 - 1:2000
  • Validations

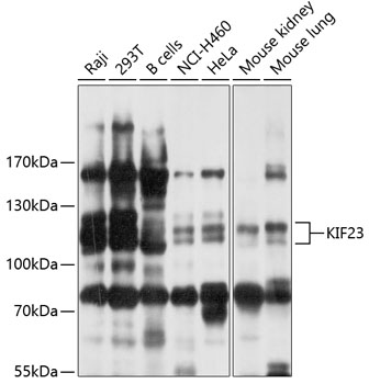
    Western blot - KIF23 Polyclonal Antibody

    Western blot - KIF23 Polyclonal Antibody

    Western blot analysis of extracts of various cell lines, using KIF23 antibody at 1:1000 dilution.Secondary antibody: HRP Goat Anti-Rabbit IgG (H+L) at 1:10000 dilution.Lysates/proteins: 25ug per lane.Blocking buffer: 3% nonfat dry milk in TBST.Detection: ECL Basic Kit .Exposure time: 30s.

  • Background
    Component of the centralspindlin complex that serves as a microtubule-dependent and Rho-mediated signaling required for the myosin contractile ring formation during the cell cycle cytokinesis. Essential for cytokinesis in Rho-mediated signaling. Required for the localization of ECT2 to the central spindle. Plus-end-directed motor enzyme that moves antiparallel microtubules in vitro.

Please note: All products are "FOR RESEARCH USE ONLY AND ARE NOT INTENDED FOR DIAGNOSTIC OR THERAPEUTIC USE"