KHDRBS2 Polyclonal Antibody

Cat.#: 164728

Special Price 226.5 USD

Availability: In Stock
- +

Add to cart to get an online quotation

Product Information

  • Product Name
    KHDRBS2 Polyclonal Antibody
  • Documents
  • Description
    Polyclonal antibody to KHDRBS2
  • Tested applications
    WB, IHC
  • Species reactivity
    Human
  • Alternative names
    KHDRBS2 antibody; SLM-1 antibody; SLM1 antibody; KH RNA binding domain containing, signal transduction associated 2 antibody
  • Isotype
    Rabbit IgG
  • Preparation
    Antigen: A synthetic peptide corresponding to a sequence within amino acids 200 to the C-terminus of human KHDRBS2 (NP_689901.2).
  • Clonality
    Polyclonal
  • Formulation
    PBS with 0.02% sodium azide, 50% glycerol, pH7.3.
  • Storage instructions
    Store at -20℃. Avoid freeze / thaw cycles.
  • Applications
    WB 1:500 - 1:1000
    IHC 1:100 - 1:200
  • Validations

    Western blot - KHDRBS2 Polyclonal Antibody

    Western blot - KHDRBS2 Polyclonal Antibody

    Western blot analysis of extracts of various cell lines, using KHDRBS2 antibody at 1:1000 dilution.Secondary antibody: HRP Goat Anti-Rabbit IgG (H+L) at 1:10000 dilution.Lysates/proteins: 25ug per lane.Blocking buffer: 3% nonfat dry milk in TBST.Detection: ECL Enhanced Kit .Exposure time: 30s.

    Immunohistochemistry - KHDRBS2 Polyclonal Antibody

    Immunohistochemistry - KHDRBS2 Polyclonal Antibody

    Immunohistochemistry of paraffin-embedded human prostate cancer using KHDRBS2 antibody at dilution of 1:100 (40x lens).

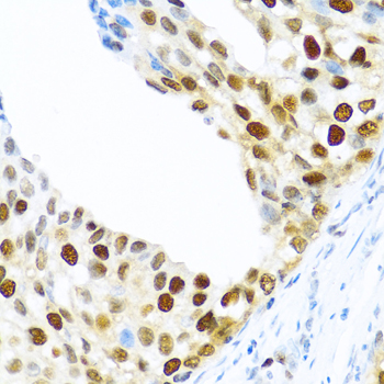
    Immunohistochemistry - KHDRBS2 Polyclonal Antibody

    Immunohistochemistry - KHDRBS2 Polyclonal Antibody

    Immunohistochemistry of paraffin-embedded human esophagus using KHDRBS2 antibody at dilution of 1:100 (40x lens).

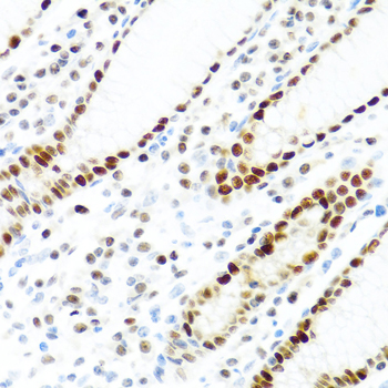
    Immunohistochemistry - KHDRBS2 Polyclonal Antibody

    Immunohistochemistry - KHDRBS2 Polyclonal Antibody

    Immunohistochemistry of paraffin-embedded human stomach using KHDRBS2 antibody at dilution of 1:100 (40x lens).

  • Background
    RNA-binding protein that plays a role in the regulation of alternative splicing and influences mRNA splice site selection and exon inclusion. Binds both poly(A) and poly(U) homopolymers. Phosphorylation by PTK6 inhibits its RNA-binding ability (By similarity). Induces an increased concentration-dependent incorporation of exon in CD44 pre-mRNA by direct binding to purine-rich exonic enhancer. Can regulate alternative splicing of NRXN1 in the laminin G-like domain 6 containing the evolutionary conserved neurexin alternative spliced segment 4 (AS4) involved in neurexin selective targeting to postsynaptic partners. Regulates cell-type specific alternative splicing of NRXN1 at AS4 and acts synergystically with SAM68 in exon skipping. In contrast acts antagonistically with SAM68 in NRXN3 exon skipping at AS4. Its phosphorylation by FYN inhibits its ability to regulate splice site selection. May function as an adapter protein for Src kinases during mitosis.

Please note: All products are "FOR RESEARCH USE ONLY AND ARE NOT INTENDED FOR DIAGNOSTIC OR THERAPEUTIC USE"