KHDRBS1 Polyclonal Antibody

Cat.#: 164726

Special Price 226.5 USD

Availability: In Stock
- +

Add to cart to get an online quotation

Product Information

  • Product Name
    KHDRBS1 Polyclonal Antibody
  • Documents
  • Description
    Polyclonal antibody to KHDRBS1
  • Tested applications
    WB, IHC, IF
  • Species reactivity
    Human, Mouse, Rat
  • Alternative names
    KHDRBS1 antibody; Sam68 antibody; p62 antibody; p68 antibody; KH RNA binding domain containing, signal transduction associated 1 antibody
  • Isotype
    Rabbit IgG
  • Preparation
    Antigen: A synthetic peptide corresponding to a sequence within amino acids 300 to the C-terminus of human KHDRBS1 (NP_006550.1).
  • Clonality
    Polyclonal
  • Formulation
    PBS with 0.02% sodium azide, 50% glycerol, pH7.3.
  • Storage instructions
    Store at -20℃. Avoid freeze / thaw cycles.
  • Applications
    WB 1:500 - 1:2000
    IHC 1:100 - 1:200
    IF 1:50 - 1:200
  • Validations

    Western blot - KHDRBS1 Polyclonal Antibody

    Western blot - KHDRBS1 Polyclonal Antibody

    Western blot analysis of extracts of various cell lines, using KHDRBS1 antibody at 1:1000 dilution.Secondary antibody: HRP Goat Anti-Rabbit IgG (H+L) at 1:10000 dilution.Lysates/proteins: 25ug per lane.Blocking buffer: 3% nonfat dry milk in TBST.Detection: ECL Basic Kit .Exposure time: 10s.

    Immunohistochemistry - KHDRBS1 Polyclonal Antibody

    Immunohistochemistry - KHDRBS1 Polyclonal Antibody

    Immunohistochemistry of paraffin-embedded rat brain using KHDRBS1 antibody at dilution of 1:100 (40x lens).

    Immunohistochemistry - KHDRBS1 Polyclonal Antibody

    Immunohistochemistry - KHDRBS1 Polyclonal Antibody

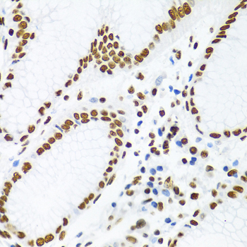
    Immunohistochemistry of paraffin-embedded human prostate cancer using KHDRBS1 antibody at dilution of 1:100 (40x lens).

    Immunohistochemistry - KHDRBS1 Polyclonal Antibody

    Immunohistochemistry - KHDRBS1 Polyclonal Antibody

    Immunohistochemistry of paraffin-embedded human stomach using KHDRBS1 antibody at dilution of 1:100 (40x lens).

    Immunohistochemistry - KHDRBS1 Polyclonal Antibody

    Immunohistochemistry - KHDRBS1 Polyclonal Antibody

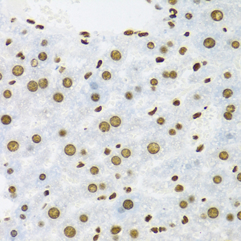
    Immunohistochemistry of paraffin-embedded mouse liver using KHDRBS1 antibody at dilution of 1:100 (40x lens).

    Immunofluorescence - KHDRBS1 Polyclonal Antibody

    Immunofluorescence - KHDRBS1 Polyclonal Antibody

    Immunofluorescence analysis of U2OS cells using KHDRBS1 antibody at dilution of 1:100. Blue: DAPI for nuclear staining.

  • Background
    Recruited and tyrosine phosphorylated by several receptor systems, for example the T-cell, leptin and insulin receptors. Once phosphorylated, functions as an adapter protein in signal transduction cascades by binding to SH2 and SH3 domain-containing proteins. Role in G2-M progression in the cell cycle. Represses CBP-dependent transcriptional activation apparently by competing with other nuclear factors for binding to CBP. Also acts as a putative regulator of mRNA stability and/or translation rates and mediates mRNA nuclear export. Positively regulates the association of constitutive transport element (CTE)-containing mRNA with large polyribosomes and translation initiation. According to some authors, is not involved in the nucleocytoplasmic export of unspliced (CTE)-containing RNA species according to. RNA-binding protein that plays a role in the regulation of alternative splicing and influences mRNA splice site selection and exon inclusion. Binds to RNA containing 5'-[AU]UAA-3' as a bipartite motif spaced by more than 15 nucleotides. Binds poly(A). Can regulate CD44 alternative splicing in a Ras pathway-dependent manner (By similarity). In cooperation with HNRNPA1 modulates alternative splicing of BCL2L1 by promoting splicing toward isoform Bcl-X(S), and of SMN1. Can regulate alternative splicing of NRXN1 and NRXN3 in the laminin G-like domain 6 containing the evolutionary conserved neurexin alternative spliced segment 4 (AS4) involved in neurexin selective targeting to postsynaptic partners. In a neuronal activity-dependent manner cooperates synergistically with KHDRBS2/SLIM-1 in regulation of NRXN1 exon skipping at AS4. The cooperation with KHDRBS2/SLIM-1 is antagonistic for regulation of NXRN3 alternative splicing at AS4 (By similarity).; Isoform 3, which is expressed in growth-arrested cells only, inhibits S phase.

Please note: All products are "FOR RESEARCH USE ONLY AND ARE NOT INTENDED FOR DIAGNOSTIC OR THERAPEUTIC USE"