JMJD7 Polyclonal Antibody

Cat.#: 165354

Special Price 226.5 USD

Availability: In Stock
- +

Add to cart to get an online quotation

Product Information

  • Product Name
    JMJD7 Polyclonal Antibody
  • Documents
  • Description
    Polyclonal antibody to JMJD7
  • Tested applications
    WB, IHC, IF
  • Species reactivity
    Human, Mouse, Rat
  • Alternative names
    JMJD7 antibody; jumonji domain containing 7 antibody
  • Isotype
    Rabbit IgG
  • Preparation
    Antigen: Recombinant fusion protein containing a sequence corresponding to amino acids 1-316 of human JMJD7 (NP_001108104.1).
  • Clonality
    Polyclonal
  • Formulation
    PBS with 0.02% sodium azide, 50% glycerol, pH7.3.
  • Storage instructions
    Store at -20℃. Avoid freeze / thaw cycles.
  • Applications
    WB 1:500 - 1:2000
    IHC 1:50 - 1:200
    IF 1:50 - 1:200
  • Validations

    Western blot - JMJD7 Polyclonal Antibody

    Western blot - JMJD7 Polyclonal Antibody

    Western blot analysis of extracts of various cell lines, using JMJD7 antibody at 1:1000 dilution._Secondary antibody: HRP Goat Anti-Rabbit IgG (H+L) at 1:10000 dilution._Lysates/proteins: 25ug per lane._Blocking buffer: 3% nonfat dry milk in TBST._Detection: ECL Enhanced Kit ._Exposure time: 90s.

    Immunohistochemistry - JMJD7 Polyclonal Antibody

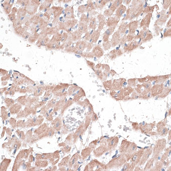
    Immunohistochemistry - JMJD7 Polyclonal Antibody

    Immunohistochemistry of paraffin-embedded rat heart using JMJD7 antibody at dilution of 1:100 (40x lens).

    Immunohistochemistry - JMJD7 Polyclonal Antibody

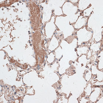
    Immunohistochemistry - JMJD7 Polyclonal Antibody

    Immunohistochemistry of paraffin-embedded mouse lung using JMJD7 antibody at dilution of 1:100 (40x lens).

    Immunohistochemistry - JMJD7 Polyclonal Antibody

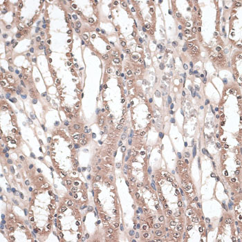
    Immunohistochemistry - JMJD7 Polyclonal Antibody

    Immunohistochemistry of paraffin-embedded mouse kidney using JMJD7 antibody at dilution of 1:100 (40x lens).

    Immunofluorescence - JMJD7 Polyclonal Antibody

    Immunofluorescence - JMJD7 Polyclonal Antibody

    Immunofluorescence analysis of A549 cells using JMJD7 antibody . Blue: DAPI for nuclear staining.

  • Background
    Bifunctional enzyme that acts both as an endopeptidase and 2-oxoglutarate-dependent monoxygenase. Endopeptidase that cleaves histones N-terminal tails at the carboxyl side of methylated arginine or lysine residues, to generate 'tailless nucleosomes', which may trigger transcription elongation. Preferentially recognizes and cleaves monomethylated and dimethylated arginine residues of histones H2, H3 and H4. After initial cleavage, continues to digest histones tails via its aminopeptidase activity. Additionally, may play a role in protein biosynthesis by modifying the translation machinery. Acts as Fe(2+) and 2-oxoglutarate-dependent monoxygenase, catalyzing (S)-stereospecific hydroxylation at C-3 of 'Lys-22' of DRG1 and 'Lys-21' of DRG2 translation factors (TRAFAC), promoting their interaction with ribonucleic acids (RNA).

Please note: All products are "FOR RESEARCH USE ONLY AND ARE NOT INTENDED FOR DIAGNOSTIC OR THERAPEUTIC USE"