ITGB8 Polyclonal Antibody

Cat.#: 165867

Special Price 226.5 USD

Availability: In Stock
- +

Add to cart to get an online quotation

Product Information

  • Product Name
    ITGB8 Polyclonal Antibody
  • Documents
  • Description
    Polyclonal antibody to ITGB8
  • Tested applications
    WB, IHC
  • Species reactivity
    Human, Mouse, Rat
  • Alternative names
    ITGB8 antibody; integrin beta-8 antibody
  • Isotype
    Rabbit IgG
  • Preparation
    Antigen: Recombinant fusion protein containing a sequence corresponding to amino acids 43-320 of human ITGB8 (NP_002205.1).
  • Clonality
    Polyclonal
  • Formulation
    PBS with 0.02% sodium azide, 50% glycerol, pH7.3.
  • Storage instructions
    Store at -20℃. Avoid freeze / thaw cycles.
  • Applications
    WB 1:500 - 1:2000
    IHC 1:50 - 1:200
  • Validations

    Western blot - ITGB8 Polyclonal Antibody

    Western blot - ITGB8 Polyclonal Antibody

    Western blot analysis of extracts of various cell lines, using ITGB8 antibody at 1:1000 dilution.Secondary antibody: HRP Goat Anti-Rabbit IgG (H+L) at 1:10000 dilution.Lysates/proteins: 25ug per lane.Blocking buffer: 3% nonfat dry milk in TBST.Detection: ECL Basic Kit .Exposure time: 5s.

    Immunohistochemistry - ITGB8 Polyclonal Antibody

    Immunohistochemistry - ITGB8 Polyclonal Antibody

    Immunohistochemistry of paraffin-embedded rat brain using ITGB8 antibody at dilution of 1:100 (40x lens).

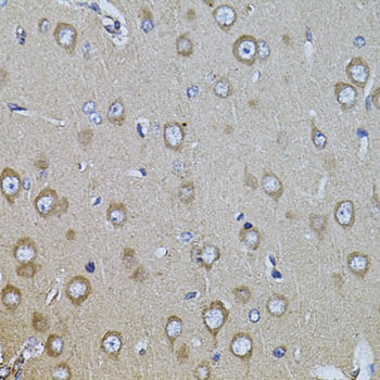
    Immunohistochemistry - ITGB8 Polyclonal Antibody

    Immunohistochemistry - ITGB8 Polyclonal Antibody

    Immunohistochemistry of paraffin-embedded mouse brain using ITGB8 antibody at dilution of 1:100 (40x lens).

  • Background
    Integrin alpha-V:beta-8 (ITGAV:ITGB8) is a receptor for fibronectin. It recognizes the sequence R-G-D in its ligands. Integrin alpha-V:beta-6 (ITGAV:ITGB6) mediates R-G-D-dependent release of transforming growth factor beta-1 (TGF-beta-1) from regulatory Latency-associated peptide (LAP), thereby playing a key role in TGF-beta-1 activation on the surface of activated regulatory T-cells (Tregs) (Probable). Required during vasculogenesis (By similarity).

Please note: All products are "FOR RESEARCH USE ONLY AND ARE NOT INTENDED FOR DIAGNOSTIC OR THERAPEUTIC USE"