ITGA2 Polyclonal Antibody

Cat.#: 165464

Special Price 327.1 USD

Availability: In Stock
- +

Add to cart to get an online quotation

Product Information

  • Product Name
    ITGA2 Polyclonal Antibody
  • Documents
  • Description
    Polyclonal antibody to ITGA2
  • Tested applications
    WB, IHC, IF
  • Species reactivity
    Human, Mouse, Rat
  • Alternative names
    ITGA2 antibody; BR antibody; CD49B antibody; GPIa antibody; HPA-5 antibody; VLA-2 antibody; VLAA2 antibody; integrin alpha-2 antibody
  • Isotype
    Rabbit IgG
  • Preparation
    Antigen: Recombinant protein of human ITGA2
  • Clonality
    Polyclonal
  • Formulation
    PBS with 0.02% sodium azide, 50% glycerol, pH7.3.
  • Storage instructions
    Store at -20℃. Avoid freeze / thaw cycles.
  • Applications
    WB 1:500 - 1:2000
    IHC 1:100 - 1:200
    IF 1:50 - 1:200
  • Validations

    Western blot - ITGA2 Polyclonal Antibody

    Western blot - ITGA2 Polyclonal Antibody

    Western blot analysis of extracts of various cell lines, using ITGA2 antibody at 1:1000 dilution.Secondary antibody: HRP Goat Anti-Rabbit IgG (H+L) at 1:10000 dilution.Lysates/proteins: 25ug per lane.Blocking buffer: 3% nonfat dry milk in TBST.Detection: ECL Basic Kit .Exposure time: 15s.

    Western blot - ITGA2 Polyclonal Antibody

    Western blot - ITGA2 Polyclonal Antibody

    Western blot analysis of extracts from normal (control) and ITGA2 knockout HeLa cells, using ITGA2 antibody at 1:1000 dilution.Secondary antibody: HRP Goat Anti-Rabbit IgG (H+L) at 1:10000 dilution.Lysates/proteins: 25ug per lane.Blocking buffer: 3% nonfat dry milk in TBST.Detection: ECL Basic Kit .Exposure time: 90s.

    Immunohistochemistry - ITGA2 Polyclonal Antibody

    Immunohistochemistry - ITGA2 Polyclonal Antibody

    Immunohistochemistry of paraffin-embedded rat brain using ITGA2 Antibody at dilution of 1:100 (40x lens).

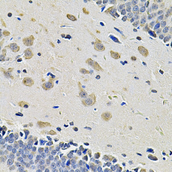
    Immunohistochemistry - ITGA2 Polyclonal Antibody

    Immunohistochemistry - ITGA2 Polyclonal Antibody

    Immunohistochemistry of paraffin-embedded mouse brain using ITGA2 Antibody at dilution of 1:100 (40x lens).

    Immunofluorescence - ITGA2 Polyclonal Antibody

    Immunofluorescence - ITGA2 Polyclonal Antibody

    Immunofluorescence analysis of U2OS cells using ITGA2 antibody at dilution of 1:100. Blue: DAPI for nuclear staining.

  • Background
    Integrin alpha-2/beta-1 is a receptor for laminin, collagen, collagen C-propeptides, fibronectin and E-cadherin. It recognizes the proline-hydroxylated sequence G-F-P-G-E-R in collagen. It is responsible for adhesion of platelets and other cells to collagens, modulation of collagen and collagenase gene expression, force generation and organization of newly synthesized extracellular matrix.; (Microbial infection) Integrin ITGA2:ITGB1 acts as a receptor for Human rotavirus A.; (Microbial infection) Integrin ITGA2:ITGB1 acts as a receptor for Human echoviruses 1 and 8.

Please note: All products are "FOR RESEARCH USE ONLY AND ARE NOT INTENDED FOR DIAGNOSTIC OR THERAPEUTIC USE"