IRAK2 Polyclonal Antibody

Cat.#: 163886

Special Price 226.5 USD

Availability: In Stock
- +

Add to cart to get an online quotation

Product Information

  • Product Name
    IRAK2 Polyclonal Antibody
  • Documents
  • Description
    Polyclonal antibody to IRAK2
  • Tested applications
    WB, IHC
  • Species reactivity
    Mouse, Rat
  • Alternative names
    IRAK2 antibody; IRAK-2 antibody; interleukin 1 receptor associated kinase 2 antibody
  • Isotype
    Rabbit IgG
  • Preparation
    Antigen: Recombinant fusion protein containing a sequence corresponding to amino acids 1-270 of human IRAK2 (NP_001561.3).
  • Clonality
    Polyclonal
  • Formulation
    PBS with 0.02% sodium azide, 50% glycerol, pH7.3.
  • Storage instructions
    Store at -20℃. Avoid freeze / thaw cycles.
  • Applications
    WB 1:500 - 1:2000
    IHC 1:50 - 1:200
  • Validations

    Western blot - IRAK2 Polyclonal Antibody

    Western blot - IRAK2 Polyclonal Antibody

    Western blot analysis of extracts of mouse liver, using IRAK2 antibody at 1:1000 dilution.Secondary antibody: HRP Goat Anti-Rabbit IgG (H+L) at 1:10000 dilution.Lysates/proteins: 25ug per lane.Blocking buffer: 3% nonfat dry milk in TBST.Detection: ECL Basic Kit .Exposure time: 10s.

    Immunohistochemistry - IRAK2 Polyclonal Antibody

    Immunohistochemistry - IRAK2 Polyclonal Antibody

    Immunohistochemistry of paraffin-embedded mouse kidney using IRAK2 antibody at dilution of 1:100 (40x lens).

    Immunohistochemistry - IRAK2 Polyclonal Antibody

    Immunohistochemistry - IRAK2 Polyclonal Antibody

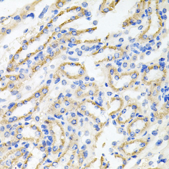
    Immunohistochemistry of paraffin-embedded rat lung using IRAK2 antibody at dilution of 1:100 (40x lens).

    Immunohistochemistry - IRAK2 Polyclonal Antibody

    Immunohistochemistry - IRAK2 Polyclonal Antibody

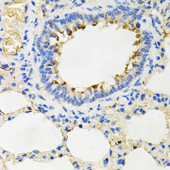
    Immunohistochemistry of paraffin-embedded mouse lung using IRAK2 antibody at dilution of 1:100 (40x lens).

  • Background
    Binds to the IL-1 type I receptor following IL-1 engagement, triggering intracellular signaling cascades leading to transcriptional up-regulation and mRNA stabilization.

Please note: All products are "FOR RESEARCH USE ONLY AND ARE NOT INTENDED FOR DIAGNOSTIC OR THERAPEUTIC USE"