INPP5K Polyclonal Antibody

Cat.#: 165545

Special Price 226.5 USD

Availability: In Stock
- +

Add to cart to get an online quotation

Product Information

  • Product Name
    INPP5K Polyclonal Antibody
  • Documents
  • Description
    Polyclonal antibody to INPP5K
  • Tested applications
    WB, IHC, IF
  • Species reactivity
    Human, Mouse, Rat
  • Alternative names
    INPP5K antibody; PPS antibody; SKIP antibody; MDCCAID antibody; inositol polyphosphate 5-phosphatase K antibody
  • Isotype
    Rabbit IgG
  • Preparation
    Antigen: Recombinant fusion protein containing a sequence corresponding to amino acids 149-448 of human INPP5K (NP_057616.2).
  • Clonality
    Polyclonal
  • Formulation
    PBS with 0.02% sodium azide, 50% glycerol, pH7.3.
  • Storage instructions
    Store at -20℃. Avoid freeze / thaw cycles.
  • Applications
    WB 1:500 - 1:2000
    IHC 1:50 - 1:200
    IF 1:50 - 1:200
  • Validations

    Western blot - INPP5K Polyclonal Antibody

    Western blot - INPP5K Polyclonal Antibody

    Western blot analysis of extracts of various cell lines, using INPP5K antibody at 1:1000 dilution.Secondary antibody: HRP Goat Anti-Rabbit IgG (H+L) at 1:10000 dilution.Lysates/proteins: 25ug per lane.Blocking buffer: 3% nonfat dry milk in TBST.Detection: ECL Basic Kit .Exposure time: 90s.

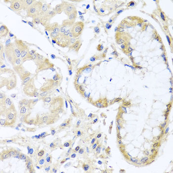
    Immunohistochemistry - INPP5K Polyclonal Antibody

    Immunohistochemistry - INPP5K Polyclonal Antibody

    Immunohistochemistry of paraffin-embedded human stomach using INPP5K antibody at dilution of 1:100 (40x lens).

    Immunohistochemistry - INPP5K Polyclonal Antibody

    Immunohistochemistry - INPP5K Polyclonal Antibody

    Immunohistochemistry of paraffin-embedded rat brain using INPP5K antibody at dilution of 1:100 (40x lens).

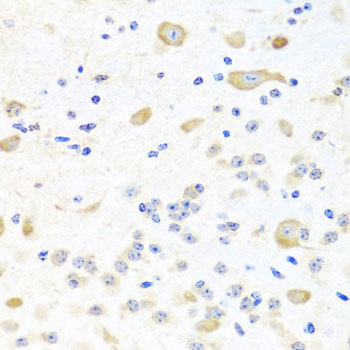
    Immunohistochemistry - INPP5K Polyclonal Antibody

    Immunohistochemistry - INPP5K Polyclonal Antibody

    Immunohistochemistry of paraffin-embedded mouse brain using INPP5K antibody at dilution of 1:100 (40x lens).

    Immunofluorescence - INPP5K Polyclonal Antibody

    Immunofluorescence - INPP5K Polyclonal Antibody

    Immunofluorescence analysis of U2OS cells using INPP5K antibody at dilution of 1:100. Blue: DAPI for nuclear staining.

  • Background
    Inositol 5-phosphatase which acts on inositol 1,4,5-trisphosphate, inositol 1,3,4,5-tetrakisphosphate, phosphatidylinositol 4,5-bisphosphate and phosphatidylinositol 3,4,5-trisphosphate. Has 6-fold higher affinity for phosphatidylinositol 4,5-bisphosphate than for inositol 1,4,5-trisphosphate. Negatively regulates assembly of the actin cytoskeleton. Controls insulin-dependent glucose uptake among inositol 3,4,5-trisphosphate phosphatases; therefore, is the specific regulator for insulin signaling in skeletal muscle (By similarity).

Please note: All products are "FOR RESEARCH USE ONLY AND ARE NOT INTENDED FOR DIAGNOSTIC OR THERAPEUTIC USE"