INADL Polyclonal Antibody

Cat.#: 165898

Special Price 226.5 USD

Availability: In Stock
- +

Add to cart to get an online quotation

Product Information

  • Product Name
    INADL Polyclonal Antibody
  • Documents
  • Description
    Polyclonal antibody to INADL
  • Tested applications
    WB, IHC
  • Species reactivity
    Human, Mouse
  • Alternative names
    PATJ antibody; Cipp antibody; INADL antibody; InaD-like antibody; hINADL antibody; inaD-like protein antibody
  • Isotype
    Rabbit IgG
  • Preparation
    Antigen: Recombinant fusion protein containing a sequence corresponding to amino acids 450-680 of human INADL (NP_795352.2).
  • Clonality
    Polyclonal
  • Formulation
    PBS with 0.02% sodium azide, 50% glycerol, pH7.3.
  • Storage instructions
    Store at -20℃. Avoid freeze / thaw cycles.
  • Applications
    WB 1:500 - 1:2000
    IHC 1:50 - 1:100
  • Validations

    Western blot - INADL Polyclonal Antibody

    Western blot - INADL Polyclonal Antibody

    Western blot analysis of extracts of various cell lines, using INADL antibody at 1:1000 dilution.Secondary antibody: HRP Goat Anti-Rabbit IgG (H+L) at 1:10000 dilution.Lysates/proteins: 25ug per lane.Blocking buffer: 3% nonfat dry milk in TBST.Detection: ECL Basic Kit .Exposure time: 10s.

    Immunohistochemistry - INADL Polyclonal Antibody

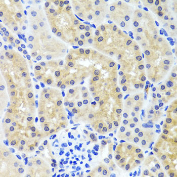
    Immunohistochemistry - INADL Polyclonal Antibody

    Immunohistochemistry of paraffin-embedded mouse kidney using INADL antibody at dilution of 1:100 (40x lens).

    Immunohistochemistry - INADL Polyclonal Antibody

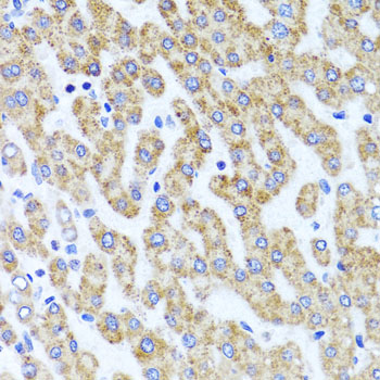
    Immunohistochemistry - INADL Polyclonal Antibody

    Immunohistochemistry of paraffin-embedded human liver injury using INADL antibody at dilution of 1:100 (40x lens).

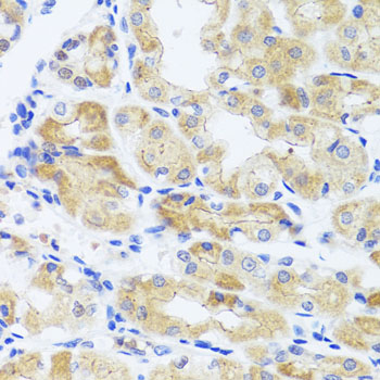
    Immunohistochemistry - INADL Polyclonal Antibody

    Immunohistochemistry - INADL Polyclonal Antibody

    Immunohistochemistry of paraffin-embedded human stomach using INADL antibody at dilution of 1:100 (40x lens).

  • Background
    Scaffolding protein that may bring different proteins into adjacent positions at the cell membrane. May regulate protein targeting, cell polarity and integrity of tight junctions. May regulate the surface expression and/or function of ASIC3 in sensory neurons. May recruit ARHGEF18 to apical cell-cell boundaries.

Please note: All products are "FOR RESEARCH USE ONLY AND ARE NOT INTENDED FOR DIAGNOSTIC OR THERAPEUTIC USE"