IL-19 antibody

Cat.#: 111768

Size:

Special Price 239.0 USD

Availability: In Stock
- +

Add to cart to get an online quotation

Product Information

  • Product Name
    IL-19 antibody
  • Documents
  • Description
    IL-19 Rabbit Polyclonal antibody. Positive IHC detected in human skin cancer tissue, human breast cancer tissue.
  • Tested applications
    ELISA, IHC
  • Species reactivity
    Human; other species not tested.
  • Alternative names
    IL 10C antibody; IL 19 antibody; IL19 antibody; interleukin 19 antibody; MDA1 antibody; NG.1 antibody; ZMDA1 antibody
  • Isotype
    Rabbit IgG
  • Preparation
    This antibody was obtained by immunization of IL-19 recombinant protein (Accession Number: BC153127). Purification method: Antigen affinity purified.
  • Clonality
    Polyclonal
  • Formulation
    PBS with 0.02% sodium azide and 50% glycerol pH 7.3.
  • Storage instructions
    Store at -20℃. DO NOT ALIQUOT
  • Applications

    Recommended Dilution:

    IHC: 1:20-1:200

  • Validations

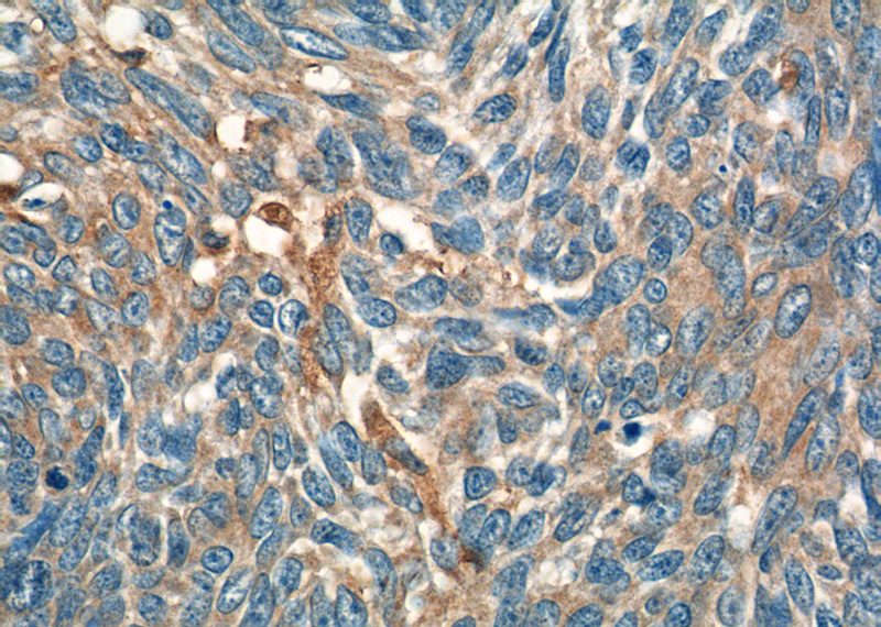
    Immunohistochemistry of paraffin-embedded human skin cancer tissue slide using Catalog No:111768(IL19 Antibody) at dilution of 1:50 (under 10x lens)

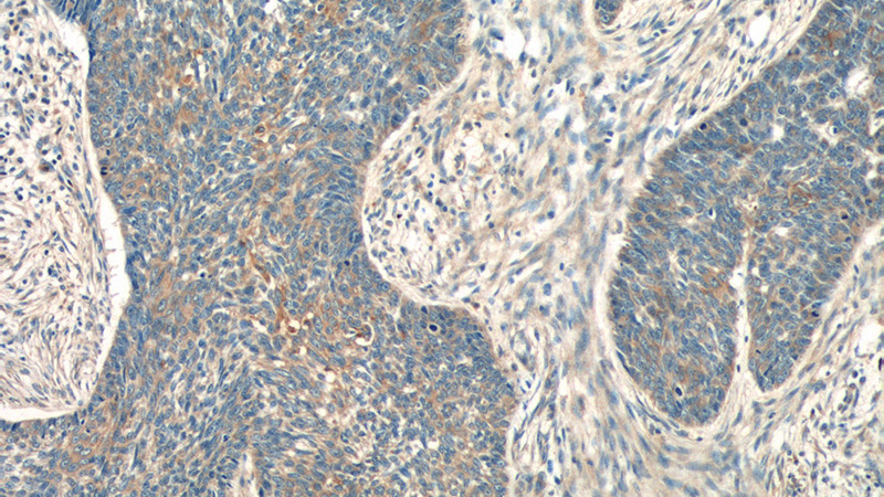
    Immunohistochemistry of paraffin-embedded human skin cancer tissue slide using Catalog No:111768(IL19 Antibody) at dilution of 1:50 (under 10x lens)

    Immunohistochemistry of paraffin-embedded human skin cancer tissue slide using Catalog No:111768(IL19 Antibody) at dilution of 1:50 (under 40x lens)

    Immunohistochemistry of paraffin-embedded human skin cancer tissue slide using Catalog No:111768(IL19 Antibody) at dilution of 1:50 (under 40x lens)

  • Background
    IL-19, a member of the IL-10 cytokine family (IL-10, -19, -20, -22, -24, -26, -28, and -29), is expressed in epithelial cells, endothelial cells, and macrophages. It can bind the interleukin-20 receptor complex IL-20R1/IL-20R2 and lead to the activation of the signal transducer and activator of transcription 3 (STAT3). IL-19 induces IL-6 and TNF-αproduction in monocytes. It also induces cell apoptosis and reactive oxygen species production in monocytes, which suggests a role of this cytokine in inflammatory responses. It is up-regulated in monocytes following stimulation with lipopolysaccharide (LPS), and granulocyte-macrophage colony-stimulating factor (GM-CSF). IL-19 alters the balance of Th1 and Th2 cells in favor of Th2 cells. IL-19 contributes to a range of diseases and disorders, such as breast cancer, squamous cell carcinoma of the skin, asthma, endotoxic shock, uremia, psoriasis, rheumatoid arthritis, and periodontal and vascular disease.

Please note: All products are "FOR RESEARCH USE ONLY AND ARE NOT INTENDED FOR DIAGNOSTIC OR THERAPEUTIC USE"