ID3 Polyclonal Antibody

Cat.#: 164496

Special Price 226.5 USD

Availability: In Stock
- +

Add to cart to get an online quotation

Product Information

  • Product Name
    ID3 Polyclonal Antibody
  • Documents
  • Description
    Polyclonal antibody to ID3
  • Tested applications
    WB, IHC, IF
  • Species reactivity
    Human, Mouse, Rat
  • Alternative names
    ID3 antibody; HEIR-1 antibody; bHLHb25 antibody; DNA-binding protein inhibitor ID-3 antibody
  • Isotype
    Rabbit IgG
  • Preparation
    Antigen: Recombinant fusion protein containing a sequence corresponding to amino acids 1-119 of human ID3 (NP_002158.3).
  • Clonality
    Polyclonal
  • Formulation
    PBS with 0.02% sodium azide, 50% glycerol, pH7.3.
  • Storage instructions
    Store at -20℃. Avoid freeze / thaw cycles.
  • Applications
    WB 1:500 - 1:2000
    IHC 1:50 - 1:200
    IF 1:50 - 1:100
  • Validations

    Western blot - ID3 Polyclonal Antibody

    Western blot - ID3 Polyclonal Antibody

    Western blot analysis of extracts of mouse liver, using ID3 antibody at 1:1000 dilution.Secondary antibody: HRP Goat Anti-Rabbit IgG (H+L) at 1:10000 dilution.Lysates/proteins: 25ug per lane.Blocking buffer: 3% nonfat dry milk in TBST.

    Immunohistochemistry - ID3 Polyclonal Antibody

    Immunohistochemistry - ID3 Polyclonal Antibody

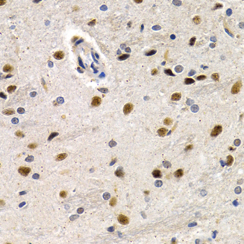
    Immunohistochemistry of paraffin-embedded rat brain using ID3 antibody at dilution of 1:200 (40x lens).

    Immunohistochemistry - ID3 Polyclonal Antibody

    Immunohistochemistry - ID3 Polyclonal Antibody

    Immunohistochemistry of paraffin-embedded mouse kidney using ID3 antibody at dilution of 1:200 (40x lens).

    Immunohistochemistry - ID3 Polyclonal Antibody

    Immunohistochemistry - ID3 Polyclonal Antibody

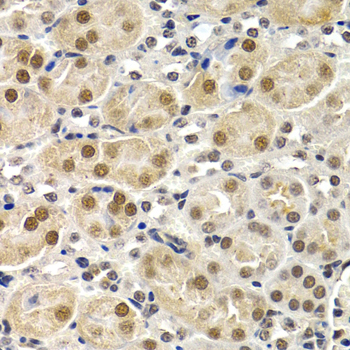
    Immunohistochemistry of paraffin-embedded mouse pancreas using ID3 antibody at dilution of 1:200 (40x lens).

    Immunohistochemistry - ID3 Polyclonal Antibody

    Immunohistochemistry - ID3 Polyclonal Antibody

    Immunohistochemistry of paraffin-embedded mouse brain using ID3 antibody at dilution of 1:200 (40x lens).

    Immunohistochemistry - ID3 Polyclonal Antibody

    Immunohistochemistry - ID3 Polyclonal Antibody

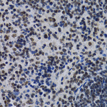
    Immunohistochemistry of paraffin-embedded mouse spleen using ID3 antibody at dilution of 1:200 (40x lens).

    Immunohistochemistry - ID3 Polyclonal Antibody

    Immunohistochemistry - ID3 Polyclonal Antibody

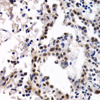
    Immunohistochemistry of paraffin-embedded human lung cancer using ID3 antibody at dilution of 1:200 (40x lens).

    Immunofluorescence - ID3 Polyclonal Antibody

    Immunofluorescence - ID3 Polyclonal Antibody

    Immunofluorescence analysis of HeLa cells using ID3 antibody .

  • Background
    Transcriptional regulator (lacking a basic DNA binding domain) which negatively regulates the basic helix-loop-helix (bHLH) transcription factors by forming heterodimers and inhibiting their DNA binding and transcriptional activity. Implicated in regulating a variety of cellular processes, including cellular growth, senescence, differentiation, apoptosis, angiogenesis, and neoplastic transformation. Involved in myogenesis by inhibiting skeletal muscle and cardiac myocyte differentiation and promoting muscle precursor cells proliferation. Inhibits the binding of E2A-containing protein complexes to muscle creatine kinase E-box enhancer. Regulates the circadian clock by repressing the transcriptional activator activity of the CLOCK-ARNTL/BMAL1 heterodimer.

Please note: All products are "FOR RESEARCH USE ONLY AND ARE NOT INTENDED FOR DIAGNOSTIC OR THERAPEUTIC USE"