ICOSLG Polyclonal Antibody

Cat.#: 165175

Special Price 226.5 USD

Availability: In Stock
- +

Add to cart to get an online quotation

Product Information

  • Product Name
    ICOSLG Polyclonal Antibody
  • Documents
  • Description
    Polyclonal antibody to ICOSLG
  • Tested applications
    WB, IHC
  • Species reactivity
    Human, Mouse, Rat
  • Alternative names
    ICOSLG antibody; B7-H2 antibody; B7H2 antibody; B7RP-1 antibody; B7RP1 antibody; CD275 antibody; GL50 antibody; ICOS-L antibody; ICOSL antibody; LICOS antibody; ICOS ligand antibody
  • Isotype
    Rabbit IgG
  • Preparation
    Antigen: Recombinant fusion protein containing a sequence corresponding to amino acids 19-256 of human ICOSLG (NP_056074.1).
  • Clonality
    Polyclonal
  • Formulation
    PBS with 0.02% sodium azide, 50% glycerol, pH7.3.
  • Storage instructions
    Store at -20℃. Avoid freeze / thaw cycles.
  • Applications
    WB 1:500 - 1:2000
    IHC 1:50 - 1:200
  • Validations

    Western blot - ICOSLG Polyclonal Antibody

    Western blot - ICOSLG Polyclonal Antibody

    Western blot analysis of extracts of various cell lines, using ICOSLG antibody at 1:1000 dilution.Secondary antibody: HRP Goat Anti-Rabbit IgG (H+L) at 1:10000 dilution.Lysates/proteins: 25ug per lane.Blocking buffer: 3% nonfat dry milk in TBST.Detection: ECL Basic Kit .Exposure time: 90s.

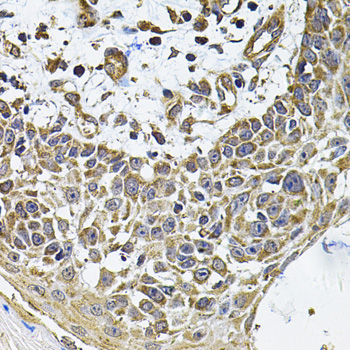
    Immunohistochemistry - ICOSLG Polyclonal Antibody

    Immunohistochemistry - ICOSLG Polyclonal Antibody

    Immunohistochemistry of paraffin-embedded human skin carcinoma using ICOSLG Antibody at dilution of 1:100 (40x lens).

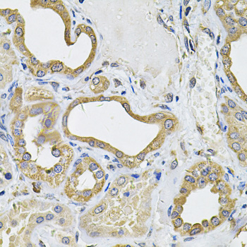
    Immunohistochemistry - ICOSLG Polyclonal Antibody

    Immunohistochemistry - ICOSLG Polyclonal Antibody

    Immunohistochemistry of paraffin-embedded human kidney using ICOSLG Antibody at dilution of 1:100 (40x lens).

  • Background
    Ligand for the T-cell-specific cell surface receptor ICOS. Acts as a costimulatory signal for T-cell proliferation and cytokine secretion; induces also B-cell proliferation and differentiation into plasma cells. Could play an important role in mediating local tissue responses to inflammatory conditions, as well as in modulating the secondary immune response by co-stimulating memory T-cell function (By similarity).

Please note: All products are "FOR RESEARCH USE ONLY AND ARE NOT INTENDED FOR DIAGNOSTIC OR THERAPEUTIC USE"