ICOS Polyclonal Antibody

Cat.#: 163579

Special Price 226.5 USD

Availability: In Stock
- +

Add to cart to get an online quotation

Product Information

  • Product Name
    ICOS Polyclonal Antibody
  • Documents
  • Description
    Polyclonal antibody to ICOS
  • Tested applications
    WB, IHC, IF
  • Species reactivity
    Human, Mouse, Rat
  • Alternative names
    ICOS antibody; AILIM antibody; CD278 antibody; CVID1 antibody; inducible T-cell costimulator antibody
  • Isotype
    Rabbit IgG
  • Preparation
    Antigen: Recombinant fusion protein containing a sequence corresponding to amino acids 21-140 of human ICOS (NP_036224.1).
  • Clonality
    Polyclonal
  • Formulation
    PBS with 0.02% sodium azide, 50% glycerol, pH7.3.
  • Storage instructions
    Store at -20℃. Avoid freeze / thaw cycles.
  • Applications
    WB 1:500 - 1:2000
    IHC 1:50 - 1:200
    IF 1:50 - 1:200
  • Validations

    Western blot - ICOS Polyclonal Antibody

    Western blot - ICOS Polyclonal Antibody

    Western blot analysis of extracts of various cell lines, using ICOS antibody at 1:1000 dilution.Secondary antibody: HRP Goat Anti-Rabbit IgG (H+L) at 1:10000 dilution.Lysates/proteins: 25ug per lane.Blocking buffer: 3% nonfat dry milk in TBST.Detection: ECL Basic Kit .Exposure time: 30s.

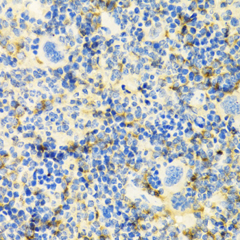
    Immunohistochemistry - ICOS Polyclonal Antibody

    Immunohistochemistry - ICOS Polyclonal Antibody

    Immunohistochemistry of paraffin-embedded mouse spleen using ICOS antibody at dilution of 1:100 (40x lens).

    Immunofluorescence - ICOS Polyclonal Antibody

    Immunofluorescence - ICOS Polyclonal Antibody

    Immunofluorescence analysis of MCF-7 cells using ICOS antibody . Blue: DAPI for nuclear staining.

  • Background
    Enhances all basic T-cell responses to a foreign antigen, namely proliferation, secretion of lymphokines, up-regulation of molecules that mediate cell-cell interaction, and effective help for antibody secretion by B-cells. Essential both for efficient interaction between T and B-cells and for normal antibody responses to T-cell dependent antigens. Does not up-regulate the production of interleukin-2, but superinduces the synthesis of interleukin-10. Prevents the apoptosis of pre-activated T-cells. Plays a critical role in CD40-mediated class switching of immunoglobin isotypes (By similarity).

Please note: All products are "FOR RESEARCH USE ONLY AND ARE NOT INTENDED FOR DIAGNOSTIC OR THERAPEUTIC USE"