Human N6AMT2 Recombinant protein (6*His tag)

Cat.#: 521611

Size:

Special Price 294.7 USD

Availability: 2-3 weeks
- +

Add to cart to get an online quotation

Product Information

  • Product Name
    Human N6AMT2 Recombinant protein (6*His tag)
  • Documents
  • Protein name
    eukaryotic translation elongation factor 1 alpha lysine methyltransferase 1
  • Uniprot ID
    Q8WVE0
  • Gene Name
    N6AMT2
  • Source/Expression Host
    E. coli
  • Expression Plasmid/cDNA
    A DNA sequence encoding the human EEF1AKMT1 (XP_016875921.1) 1-214 aa was fused with the polyhistidine tag
  • Protein Species
    Human
  • Purity
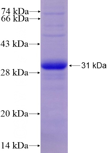
    90%, by SDS-PAGE with Coomassie Brilliant Blue staining.
  • Activity
    Not tested.
  • Validations

    Recombinant Human N6AMT2 SDS-PAGE

    Recombinant Human N6AMT2 SDS-PAGE

Please note: All products are "FOR RESEARCH USE ONLY AND ARE NOT INTENDED FOR DIAGNOSTIC OR THERAPEUTIC USE"