HuA/B/C/D antibody

Cat.#: 111717

Size:

Special Price 239.0 USD

Availability: In Stock
- +

Add to cart to get an online quotation

Product Information

  • Product Name
    HuA/B/C/D antibody
  • Documents
  • Description
    HuA/B/C/D Rabbit Polyclonal antibody. Positive IP detected in mouse brain tissue. Positive WB detected in human cerebellum tissue, mouse cerebellum tissue, PC-13 cells. Positive IHC detected in human breast cancer tissue. Observed molecular weight by Western-blot: 40 kDa
  • Tested applications
    ELISA, WB, IHC, IP
  • Species reactivity
    Human,Mouse,Rat,Zebrafish; other species not tested.
  • Alternative names
    ELAV like protein 4 antibody; ELAVL4 antibody; Hu antigen D antibody; Hu C/D antibody; HUD antibody; PNEM antibody
  • Isotype
    Rabbit IgG
  • Preparation
    This antibody was obtained by immunization of HuA/B/C/D recombinant protein (Accession Number: NM_001144774). Purification method: Antigen affinity purified.
  • Clonality
    Polyclonal
  • Formulation
    PBS with 0.02% sodium azide and 50% glycerol pH 7.3.
  • Storage instructions
    Store at -20℃. DO NOT ALIQUOT
  • Applications

    Recommended Dilution:

    WB: 1:1000-1:10000

    IP: 1:200-1:1000

    IHC: 1:20-1:200

  • Validations

    human cerebellum tissue were subjected to SDS PAGE followed by western blot with Catalog No:111717(ELAVL4 antibody) at dilution of 1:800

    human cerebellum tissue were subjected to SDS PAGE followed by western blot with Catalog No:111717(ELAVL4 antibody) at dilution of 1:800

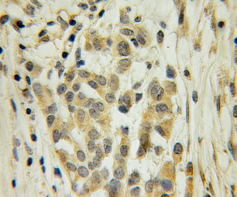
    Immunohistochemical of paraffin-embedded human breast cancer using Catalog No:111717(ELAVL4 antibody) at dilution of 1:100 (under 10x lens)

    Immunohistochemical of paraffin-embedded human breast cancer using Catalog No:111717(ELAVL4 antibody) at dilution of 1:100 (under 10x lens)

    IP Result of anti-ELAVL4 (IP:Catalog No:111717, 4ug; Detection:Catalog No:111717 1:300) with mouse brain tissue lysate 2560ug.

    IP Result of anti-ELAVL4 (IP:Catalog No:111717, 4ug; Detection:Catalog No:111717 1:300) with mouse brain tissue lysate 2560ug.

  • Background
    Embryonic lethal, abnormal vision, Drosophila-like 4 (ELAVL4) is a human homologue of the Drosophilia gene ELAV, which is implicated in neuronal differentiation and maintenance. The ELAVL proteins are mRNA binding proteins and all members of the family contain three RNA-recognition motifs [PMID:12402251]. ELAVL-proteins also interact with inflammation-associated factors. The protein may be implicated in neurodegeneration through these complex mechanisms [PMID:15827745].

Please note: All products are "FOR RESEARCH USE ONLY AND ARE NOT INTENDED FOR DIAGNOSTIC OR THERAPEUTIC USE"