HPR Polyclonal Antibody

Cat.#: 166224

Special Price 226.5 USD

Availability: In Stock
- +

Add to cart to get an online quotation

Product Information

  • Product Name
    HPR Polyclonal Antibody
  • Documents
  • Description
    Polyclonal antibody to HPR
  • Tested applications
    WB, IHC
  • Species reactivity
    Human, Mouse
  • Alternative names
    HPR antibody; A-259H10.2 antibody; HP antibody; haptoglobin-related protein antibody
  • Isotype
    Rabbit IgG
  • Preparation
    Antigen: Recombinant fusion protein containing a sequence corresponding to amino acids 20-348 of human HPR (NP_066275.3).
  • Clonality
    Polyclonal
  • Formulation
    PBS with 0.02% sodium azide, 50% glycerol, pH7.3.
  • Storage instructions
    Store at -20℃. Avoid freeze / thaw cycles.
  • Applications
    WB 1:500 - 1:2000
    IHC 1:50 - 1:100
  • Validations

    Western blot - HPR Polyclonal Antibody

    Western blot - HPR Polyclonal Antibody

    Western blot analysis of extracts of various cell lines, using HPR antibody at 1:1000 dilution.Secondary antibody: HRP Goat Anti-Rabbit IgG (H+L) at 1:10000 dilution.Lysates/proteins: 25ug per lane.Blocking buffer: 3% nonfat dry milk in TBST.Detection: ECL Basic Kit .Exposure time: 15s.

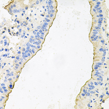
    Immunohistochemistry - HPR Polyclonal Antibody

    Immunohistochemistry - HPR Polyclonal Antibody

    Immunohistochemistry of paraffin-embedded mouse lung using HPR antibody at dilution of 1:100 (40x lens).

    Immunohistochemistry - HPR Polyclonal Antibody

    Immunohistochemistry - HPR Polyclonal Antibody

    Immunohistochemistry of paraffin-embedded human prostate using HPR antibody at dilution of 1:100 (40x lens).

  • Background
    Primate-specific plasma protein associated with apolipoprotein L-I (apoL-I)-containing high-density lipoprotein (HDL). This HDL particle, termed trypanosome lytic factor-1 (TLF-1), mediates human innate immune protection against many species of African trypanosomes. Binds hemoglobin with high affinity and may contribute to the clearance of cell-free hemoglobin to allow hepatic recycling of heme iron.

Please note: All products are "FOR RESEARCH USE ONLY AND ARE NOT INTENDED FOR DIAGNOSTIC OR THERAPEUTIC USE"