HPCAL1 Polyclonal Antibody

Cat.#: 160220

Special Price 226.5 USD

Availability: In Stock
- +

Add to cart to get an online quotation

Product Information

  • Product Name
    HPCAL1 Polyclonal Antibody
  • Documents
  • Description
    Polyclonal antibody to HPCAL1
  • Tested applications
    WB, IP
  • Species reactivity
    Human, Mouse, Rat
  • Alternative names
    HPCAL1 antibody; BDR1 antibody; HLP2 antibody; VILIP-3 antibody; hippocalcin like 1 antibody
  • Isotype
    Rabbit IgG
  • Preparation
    Antigen: Recombinant fusion protein containing a sequence corresponding to amino acids 1-193 of human HPCAL1 (NP_002140.2).
  • Clonality
    Polyclonal
  • Formulation
    PBS with 0.02% sodium azide, 50% glycerol, pH7.3.
  • Storage instructions
    Store at -20℃. Avoid freeze / thaw cycles.
  • Applications
    WB 1:500 - 1:2000
    IP 1:20 - 1:100
  • Validations

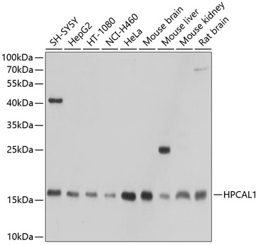
    Western blot - HPCAL1 Polyclonal Antibody

    Western blot - HPCAL1 Polyclonal Antibody

    Western blot analysis of extracts of various cell lines, using HPCAL1 antibody at 1:1000 dilution.Secondary antibody: HRP Goat Anti-Rabbit IgG (H+L) at 1:10000 dilution.Lysates/proteins: 25ug per lane.Blocking buffer: 3% nonfat dry milk in TBST.Detection: ECL Basic Kit .Exposure time: 30s.

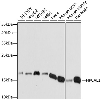
    Western blot - HPCAL1 Polyclonal Antibody

    Western blot - HPCAL1 Polyclonal Antibody

    Western blot analysis of extracts of various cells, using HPCAL1 antibody at 1:1000 dilution ratio through one-step method.Secondary antibody: HRP Goat Anti-Rabbit IgG (H+L) at 1:10000 dilution.Lysates/proteins: 25ug per lane.Blocking buffer: 3% nonfat dry milk in TBST.Detection: ECL Basic Kit .Exposure time: 3min.

    Immunoprecipitation - HPCAL1 Polyclonal Antibody

    Immunoprecipitation - HPCAL1 Polyclonal Antibody

    Immunoprecipitation analysis of extracts of HepG2 cells using HPCAL1 antibody . Western blot was performed from the immunoprecipitate using HPCAL1 antibody at a dilition of 1:1000.

  • Background
    May be involved in the calcium-dependent regulation of rhodopsin phosphorylation.

Please note: All products are "FOR RESEARCH USE ONLY AND ARE NOT INTENDED FOR DIAGNOSTIC OR THERAPEUTIC USE"