HMGA1 Polyclonal Antibody

Cat.#: 161216

Special Price 226.5 USD

Availability: In Stock
- +

Add to cart to get an online quotation

Product Information

  • Product Name
    HMGA1 Polyclonal Antibody
  • Documents
  • Description
    Polyclonal antibody to HMGA1
  • Tested applications
    WB, IHC
  • Species reactivity
    Mouse, Rat
  • Alternative names
    HMGA1 antibody; HMG-R antibody; HMGA1A antibody; HMGIY antibody; high mobility group AT-hook 1 antibody
  • Isotype
    Rabbit IgG
  • Preparation
    Antigen: A synthetic peptide corresponding to a sequence within amino acids 1-100 of human HMGA1 (NP_665908.1).
  • Clonality
    Polyclonal
  • Formulation
    PBS with 0.02% sodium azide, 50% glycerol, pH7.3.
  • Storage instructions
    Store at -20℃. Avoid freeze / thaw cycles.
  • Applications
    WB 1:1000 - 1:2000
    IHC 1:50 - 1:200
  • Validations

    Western blot - HMGA1 Polyclonal Antibody

    Western blot - HMGA1 Polyclonal Antibody

    Western blot analysis of extracts of various cell lines, using HMGA1 antibody at 1:3000 dilution.Secondary antibody: HRP Goat Anti-Rabbit IgG (H+L) at 1:10000 dilution.Lysates/proteins: 25ug per lane.Blocking buffer: 3% nonfat dry milk in TBST.Detection: ECL Basic Kit .Exposure time: 90s.

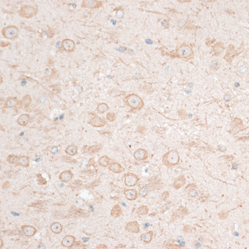
    Immunohistochemistry - HMGA1 Polyclonal Antibody

    Immunohistochemistry - HMGA1 Polyclonal Antibody

    Immunohistochemistry of paraffin-embedded mouse brain using HMGA1 antibody at dilution of 1:100 (40x lens).

    Immunohistochemistry - HMGA1 Polyclonal Antibody

    Immunohistochemistry - HMGA1 Polyclonal Antibody

    Immunohistochemistry of paraffin-embedded mouse kidney using HMGA1 antibody at dilution of 1:100 (40x lens).

  • Background
    HMG-I/Y bind preferentially to the minor groove of A+T rich regions in double-stranded DNA. It is suggested that these proteins could function in nucleosome phasing and in the 3'-end processing of mRNA transcripts. They are also involved in the transcription regulation of genes containing, or in close proximity to A+T-rich regions.

Please note: All products are "FOR RESEARCH USE ONLY AND ARE NOT INTENDED FOR DIAGNOSTIC OR THERAPEUTIC USE"