HLA-DMB Polyclonal Antibody

Cat.#: 165836

Special Price 226.5 USD

Availability: In Stock
- +

Add to cart to get an online quotation

Product Information

  • Product Name
    HLA-DMB Polyclonal Antibody
  • Documents
  • Description
    Polyclonal antibody to HLA-DMB
  • Tested applications
    WB, IHC
  • Species reactivity
    Human
  • Alternative names
    HLA-DMB antibody; D6S221E antibody; RING7 antibody; major histocompatibility complex, class II, DM beta antibody
  • Isotype
    Rabbit IgG
  • Preparation
    Antigen: Recombinant fusion protein containing a sequence corresponding to amino acids 19-218 of human HLA-DMB (NP_002109.2).
  • Clonality
    Polyclonal
  • Formulation
    PBS with 0.02% sodium azide, 50% glycerol, pH7.3.
  • Storage instructions
    Store at -20℃. Avoid freeze / thaw cycles.
  • Applications
    WB 1:500 - 1:2000
    IHC 1:50 - 1:100
  • Validations

    Western blot - HLA-DMB Polyclonal Antibody

    Western blot - HLA-DMB Polyclonal Antibody

    Western blot analysis of extracts of Raji cells, using HLA-DMB antibody at 1:1000 dilution.Secondary antibody: HRP Goat Anti-Rabbit IgG (H+L) at 1:10000 dilution.Lysates/proteins: 25ug per lane.Blocking buffer: 3% nonfat dry milk in TBST.Detection: ECL Basic Kit .Exposure time: 90s.

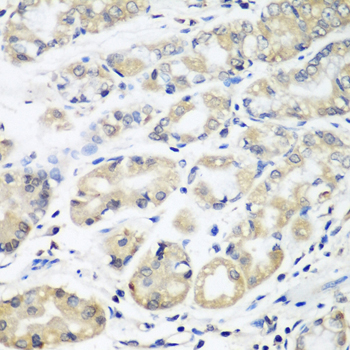
    Immunohistochemistry - HLA-DMB Polyclonal Antibody

    Immunohistochemistry - HLA-DMB Polyclonal Antibody

    Immunohistochemistry of paraffin-embedded human stomach using HLA-DMB antibody at dilution of 1:100 (40x lens).

  • Background
    Plays a critical role in catalyzing the release of class II-associated invariant chain peptide (CLIP) from newly synthesized MHC class II molecules and freeing the peptide binding site for acquisition of antigenic peptides. In B-cells, the interaction between HLA-DM and MHC class II molecules is regulated by HLA-DO.

Please note: All products are "FOR RESEARCH USE ONLY AND ARE NOT INTENDED FOR DIAGNOSTIC OR THERAPEUTIC USE"