HAT1 Polyclonal Antibody

Cat.#: 164761

Special Price 226.5 USD

Availability: In Stock
- +

Add to cart to get an online quotation

Product Information

  • Product Name
    HAT1 Polyclonal Antibody
  • Documents
  • Description
    Polyclonal antibody to HAT1
  • Tested applications
    WB, IHC, IF, ChIP
  • Species reactivity
    Human, Mouse, Rat
  • Alternative names
    HAT1 antibody; KAT1 antibody; histone acetyltransferase 1 antibody
  • Isotype
    Rabbit IgG
  • Preparation
    Antigen: Recombinant fusion protein containing a sequence corresponding to amino acids 245-419 of human HAT1 (NP_003633.1).
  • Clonality
    Polyclonal
  • Formulation
    PBS with 0.02% sodium azide, 50% glycerol, pH7.3.
  • Storage instructions
    Store at -20℃. Avoid freeze / thaw cycles.
  • Applications
    WB 1:500 - 1:2000
    IHC 1:50 - 1:200
    IF 1:50 - 1:200
    ChIP 1:50 - 1:200
  • Validations

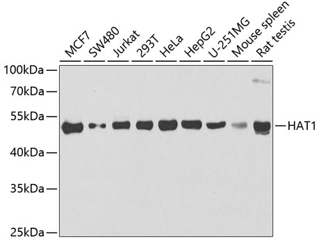
    Western blot - HAT1 Polyclonal Antibody

    Western blot - HAT1 Polyclonal Antibody

    Western blot analysis of extracts of various cell lines, using HAT1 antibody at 1:1000 dilution.Secondary antibody: HRP Goat Anti-Rabbit IgG (H+L) at 1:10000 dilution.Lysates/proteins: 25ug per lane.Blocking buffer: 3% nonfat dry milk in TBST.Detection: ECL Basic Kit .Exposure time: 30s.

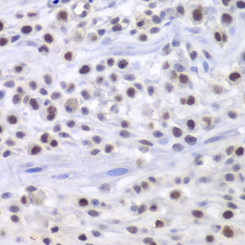
    Immunohistochemistry - HAT1 Polyclonal Antibody

    Immunohistochemistry - HAT1 Polyclonal Antibody

    Immunohistochemistry of paraffin-embedded mouse osteosarcoma using HAT1 antibody at dilution of 1:200 (40x lens).

    Immunofluorescence - HAT1 Polyclonal Antibody

    Immunofluorescence - HAT1 Polyclonal Antibody

    Immunofluorescence analysis of U2OS cells using HAT1 antibody . Blue: DAPI for nuclear staining.

  • Background
    Acetylates soluble but not nucleosomal histone H4 at 'Lys-5' (H4K5ac) and 'Lys-12' (H4K12ac) and, to a lesser extent, acetylates histone H2A at 'Lys-5' (H2AK5ac). Has intrinsic substrate specificity that modifies lysine in recognition sequence GXGKXG. May be involved in nucleosome assembly during DNA replication and repair as part of the histone H3.1 and H3.3 complexes. May play a role in DNA repair in response to free radical damage.

Please note: All products are "FOR RESEARCH USE ONLY AND ARE NOT INTENDED FOR DIAGNOSTIC OR THERAPEUTIC USE"