HAPLN1 Monoclonal Antibody

Cat.#: 160633

Special Price 301.9 USD

Availability: In Stock
- +

Add to cart to get an online quotation

Product Information

  • Product Name
    HAPLN1 Monoclonal Antibody
  • Documents
  • Description
    Monoclonal antibody to HAPLN1
  • Tested applications
    WB, IHC, IF
  • Species reactivity
    Human, Mouse, Rat
  • Alternative names
    HAPLN1 antibody; CRT1 antibody; CRTL1 antibody; hyaluronan and proteoglycan link protein 1 antibody
  • Isotype
    Rabbit IgG
  • Preparation
    Antigen: Recombinant protein of human HAPLN1
  • Clonality
    Monoclonal
  • Formulation
    PBS with 0.02% sodium azide, 50% glycerol, pH7.3.
  • Storage instructions
    Store at -20℃. Avoid freeze / thaw cycles.
  • Applications
    WB 1:500 - 1:2000
    IHC 1:50 - 1:200
    IF 1:50 - 1:200
  • Validations

    Western blot - HAPLN1 Monoclonal Antibody

    Western blot - HAPLN1 Monoclonal Antibody

    Western blot analysis of extracts of various cell lines, using HAPLN1 antibody .Secondary antibody: HRP Goat Anti-Rabbit IgG (H+L) at 1:10000 dilution.Lysates/proteins: 25ug per lane.Blocking buffer: 3% nonfat dry milk in TBST.

    Immunohistochemistry - HAPLN1 Monoclonal Antibody

    Immunohistochemistry - HAPLN1 Monoclonal Antibody

    Immunohistochemistry of paraffin-embedded mouse spleen using HAPLN1 antibody at dilution of 1:100 (40x lens).

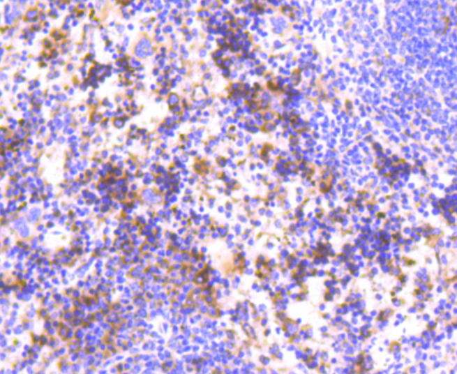
    Immunohistochemistry - HAPLN1 Monoclonal Antibody

    Immunohistochemistry - HAPLN1 Monoclonal Antibody

    Immunohistochemistry of paraffin-embedded human tonsil using HAPLN1 antibody at dilution of 1:100 (40x lens).

    Immunohistochemistry - HAPLN1 Monoclonal Antibody

    Immunohistochemistry - HAPLN1 Monoclonal Antibody

    Immunohistochemistry of paraffin-embedded human liver using HAPLN1 antibody at dilution of 1:100 (40x lens).

    Immunohistochemistry - HAPLN1 Monoclonal Antibody

    Immunohistochemistry - HAPLN1 Monoclonal Antibody

    Immunohistochemistry of paraffin-embedded human spleen using HAPLN1 antibody at dilution of 1:100 (40x lens).

    Immunofluorescence - HAPLN1 Monoclonal Antibody

    Immunofluorescence - HAPLN1 Monoclonal Antibody

    Immunofluorescence analysis of BT-20 cells using HAPLN1 antibody .

    Immunofluorescence - HAPLN1 Monoclonal Antibody

    Immunofluorescence - HAPLN1 Monoclonal Antibody

    Immunofluorescence analysis of HUVEC cells using HAPLN1 antibody .

    Immunofluorescence - HAPLN1 Monoclonal Antibody

    Immunofluorescence - HAPLN1 Monoclonal Antibody

    Immunofluorescence analysis of SW480 cells using HAPLN1 antibody .

  • Background
    Stabilizes the aggregates of proteoglycan monomers with hyaluronic acid in the extracellular cartilage matrix.

Please note: All products are "FOR RESEARCH USE ONLY AND ARE NOT INTENDED FOR DIAGNOSTIC OR THERAPEUTIC USE"