GPM6A Polyclonal Antibody

Cat.#: 166058

Special Price 226.5 USD

Availability: In Stock
- +

Add to cart to get an online quotation

Product Information

  • Product Name
    GPM6A Polyclonal Antibody
  • Documents
  • Description
    Polyclonal antibody to GPM6A
  • Tested applications
    WB, IHC
  • Species reactivity
    Human, Mouse, Rat
  • Alternative names
    GPM6A antibody; GPM6 antibody; M6A antibody; glycoprotein M6A antibody
  • Isotype
    Rabbit IgG
  • Preparation
    Antigen: A synthetic peptide corresponding to a sequence within amino acids 1-100 of human GPM6A (NP_005268.1).
  • Clonality
    Polyclonal
  • Formulation
    PBS with 0.02% sodium azide, 50% glycerol, pH7.3.
  • Storage instructions
    Store at -20℃. Avoid freeze / thaw cycles.
  • Applications
    WB 1:500 - 1:2000
    IHC 1:50 - 1:200
  • Validations

    Western blot - GPM6A Polyclonal Antibody

    Western blot - GPM6A Polyclonal Antibody

    Western blot analysis of extracts of U-87MG cells, using GPM6A antibody at 1:1000 dilution.Secondary antibody: HRP Goat Anti-Rabbit IgG (H+L) at 1:10000 dilution.Lysates/proteins: 25ug per lane.Blocking buffer: 3% nonfat dry milk in TBST.Detection: ECL Enhanced Kit .Exposure time: 30s.

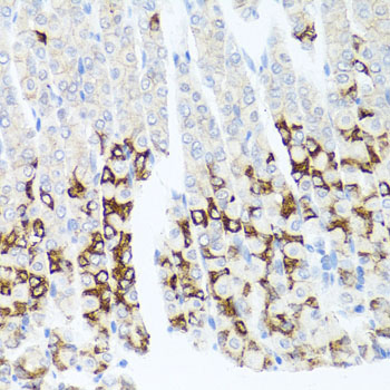
    Immunohistochemistry - GPM6A Polyclonal Antibody

    Immunohistochemistry - GPM6A Polyclonal Antibody

    Immunohistochemistry of paraffin-embedded mouse stomach using GPM6A antibody at dilution of 1:100 (40x lens).

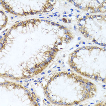
    Immunohistochemistry - GPM6A Polyclonal Antibody

    Immunohistochemistry - GPM6A Polyclonal Antibody

    Immunohistochemistry of paraffin-embedded human stomach using GPM6A antibody at dilution of 1:100 (40x lens).

  • Background
    Involved in neuronal differentiation, including differentiation and migration of neuronal stem cells. Plays a role in neuronal plasticity and is involved in neurite and filopodia outgrowth, filopodia motility and probably synapse formation. GPM6A-induced filopodia formation involves mitogen-activated protein kinase (MAPK) and Src signaling pathways. May be involved in neuronal NGF-dependent Ca(2+) influx. May be involved in regulation of endocytosis and intracellular trafficking of G-protein-coupled receptors (GPCRs); enhances internalization and recycling of mu-type opioid receptor.

Please note: All products are "FOR RESEARCH USE ONLY AND ARE NOT INTENDED FOR DIAGNOSTIC OR THERAPEUTIC USE"