GORASP1 Polyclonal Antibody

Cat.#: 164951

Special Price 226.5 USD

Availability: In Stock
- +

Add to cart to get an online quotation

Product Information

  • Product Name
    GORASP1 Polyclonal Antibody
  • Documents
  • Description
    Polyclonal antibody to GORASP1
  • Tested applications
    WB, IHC, IF
  • Species reactivity
    Human
  • Alternative names
    GORASP1 antibody; GOLPH5 antibody; GRASP65 antibody; P65 antibody; Golgi reassembly-stacking protein 1 antibody
  • Isotype
    Rabbit IgG
  • Preparation
    Antigen: Recombinant fusion protein containing a sequence corresponding to amino acids 221-440 of human GORASP1 (NP_114105.1).
  • Clonality
    Polyclonal
  • Formulation
    PBS with 0.02% sodium azide, 50% glycerol, pH7.3.
  • Storage instructions
    Store at -20℃. Avoid freeze / thaw cycles.
  • Applications
    WB 1:500 - 1:2000
    IHC 1:50 - 1:200
    IF 1:10 - 1:100
  • Validations

    Western blot - GORASP1 Polyclonal Antibody

    Western blot - GORASP1 Polyclonal Antibody

    Western blot analysis of extracts of various cell lines, using GORASP1 antibody at 1:1000 dilution.Secondary antibody: HRP Goat Anti-Rabbit IgG (H+L) at 1:10000 dilution.Lysates/proteins: 25ug per lane.Blocking buffer: 3% nonfat dry milk in TBST.Detection: ECL Basic Kit .Exposure time: 90s.

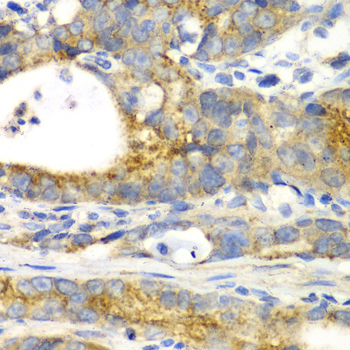
    Immunohistochemistry - GORASP1 Polyclonal Antibody

    Immunohistochemistry - GORASP1 Polyclonal Antibody

    Immunohistochemistry of paraffin-embedded human gastric cancer using GORASP1 antibody at dilution of 1:100 (40x lens).

    Immunofluorescence - GORASP1 Polyclonal Antibody

    Immunofluorescence - GORASP1 Polyclonal Antibody

    Immunofluorescence analysis of A549 cells using GORASP1 antibody . Blue: DAPI for nuclear staining.

  • Background
    Plays an important role in assembly and membrane stacking of the Golgi cisternae, and in the reassembly of Golgi stacks after breakdown during mitosis. Key structural protein required for the maintenance of the Golgi apparatus integrity: its caspase-mediated cleavage is required for fragmentation of the Golgi during apoptosis (By similarity). Also mediates, via its interaction with GOLGA2/GM130, the docking of transport vesicles with the Golgi membranes. Mediates ER stress-induced unconventional (ER/Golgi-independent) trafficking of core-glycosylated CFTR to cell membrane.

Please note: All products are "FOR RESEARCH USE ONLY AND ARE NOT INTENDED FOR DIAGNOSTIC OR THERAPEUTIC USE"