GNRH2 Polyclonal Antibody

Cat.#: 165861

Special Price 226.5 USD

Availability: In Stock
- +

Add to cart to get an online quotation

Product Information

  • Product Name
    GNRH2 Polyclonal Antibody
  • Documents
  • Description
    Polyclonal antibody to GNRH2
  • Tested applications
    WB, IHC, IF
  • Species reactivity
    Human, Mouse, Rat
  • Alternative names
    GNRH2 antibody; GnRH-II antibody; LH-RHII antibody; progonadoliberin-2 antibody
  • Isotype
    Rabbit IgG
  • Preparation
    Antigen: Recombinant fusion protein containing a sequence corresponding to amino acids 24-120 of human GNRH2 (NP_001492.1).
  • Clonality
    Polyclonal
  • Formulation
    PBS with 0.02% sodium azide, 50% glycerol, pH7.3.
  • Storage instructions
    Store at -20℃. Avoid freeze / thaw cycles.
  • Applications
    WB 1:500 - 1:2000
    IHC 1:50 - 1:100
    IF 1:50 - 1:100
  • Validations

    Western blot - GNRH2 Polyclonal Antibody

    Western blot - GNRH2 Polyclonal Antibody

    Western blot analysis of extracts of 293T cells, using GNRH2 antibody at 1:1000 dilution.Secondary antibody: HRP Goat Anti-Rabbit IgG (H+L) at 1:10000 dilution.Lysates/proteins: 25ug per lane.Blocking buffer: 3% nonfat dry milk in TBST.Detection: ECL Basic Kit .Exposure time: 90s.

    Immunohistochemistry - GNRH2 Polyclonal Antibody

    Immunohistochemistry - GNRH2 Polyclonal Antibody

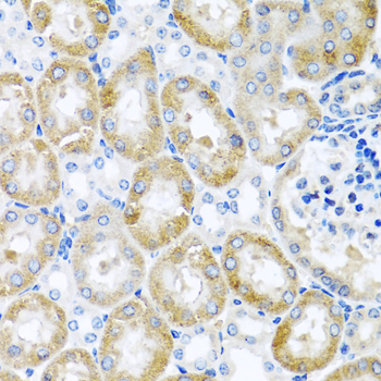
    Immunohistochemistry of paraffin-embedded rat kidney using GNRH2 antibody at dilution of 1:100 (40x lens).

    Immunohistochemistry - GNRH2 Polyclonal Antibody

    Immunohistochemistry - GNRH2 Polyclonal Antibody

    Immunohistochemistry of paraffin-embedded human esophagus using GNRH2 antibody at dilution of 1:100 (40x lens).

    Immunohistochemistry - GNRH2 Polyclonal Antibody

    Immunohistochemistry - GNRH2 Polyclonal Antibody

    Immunohistochemistry of paraffin-embedded mouse lung using GNRH2 antibody at dilution of 1:100 (40x lens).

    Immunohistochemistry - GNRH2 Polyclonal Antibody

    Immunohistochemistry - GNRH2 Polyclonal Antibody

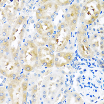
    Immunohistochemistry of paraffin-embedded mouse kidney using GNRH2 antibody at dilution of 1:100 (40x lens).

  • Background
    Stimulates the secretion of gonadotropins; it stimulates the secretion of both luteinizing and follicle-stimulating hormones.

Please note: All products are "FOR RESEARCH USE ONLY AND ARE NOT INTENDED FOR DIAGNOSTIC OR THERAPEUTIC USE"