GNAI2 Polyclonal Antibody

Cat.#: 161967

Special Price 226.5 USD

Availability: In Stock
- +

Add to cart to get an online quotation

Product Information

  • Product Name
    GNAI2 Polyclonal Antibody
  • Documents
  • Description
    Polyclonal antibody to GNAI2
  • Tested applications
    WB, IHC
  • Species reactivity
    Human, Mouse, Rat
  • Alternative names
    GNAI2 antibody; GIP antibody; GNAI2B antibody; H_LUCA15.1 antibody; H_LUCA16.1 antibody; G protein subunit alpha i2 antibody
  • Isotype
    Rabbit IgG
  • Preparation
    Antigen: Recombinant fusion protein containing a sequence corresponding to amino acids 1-355 of human GNAI2 (NP_002061.1).
  • Clonality
    Polyclonal
  • Formulation
    PBS with 0.02% sodium azide, 50% glycerol, pH7.3.
  • Storage instructions
    Store at -20℃. Avoid freeze / thaw cycles.
  • Applications
    WB 1:500 - 1:2000
    IHC 1:50 - 1:200
  • Validations

    Western blot - GNAI2 Polyclonal Antibody

    Western blot - GNAI2 Polyclonal Antibody

    Western blot analysis of extracts of various cell lines, using GNAI2 antibody at 1:1000 dilution.Secondary antibody: HRP Goat Anti-Rabbit IgG (H+L) at 1:10000 dilution.Lysates/proteins: 25ug per lane.Blocking buffer: 3% nonfat dry milk in TBST.Detection: ECL Basic Kit .Exposure time: 10s.

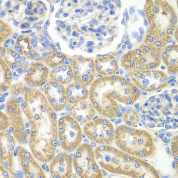
    Immunohistochemistry - GNAI2 Polyclonal Antibody

    Immunohistochemistry - GNAI2 Polyclonal Antibody

    Immunohistochemistry of paraffin-embedded rat kidney using GNAI2 antibody at dilution of 1:100 (40x lens).

  • Background
    Guanine nucleotide-binding proteins (G proteins) are involved as modulators or transducers in various transmembrane signaling systems. The G(i) proteins are involved in hormonal regulation of adenylate cyclase: they inhibit the cyclase in response to beta-adrenergic stimuli. May play a role in cell division.; Isoform sGi2: Regulates the cell surface density of dopamine receptors DRD2 by sequestrating them as an intracellular pool.

Please note: All products are "FOR RESEARCH USE ONLY AND ARE NOT INTENDED FOR DIAGNOSTIC OR THERAPEUTIC USE"