GNA13 Polyclonal Antibody

Cat.#: 164620

Special Price 327.1 USD

Availability: In Stock
- +

Add to cart to get an online quotation

Product Information

  • Product Name
    GNA13 Polyclonal Antibody
  • Documents
  • Description
    Polyclonal antibody to GNA13
  • Tested applications
    WB, IHC, IF
  • Species reactivity
    Human, Mouse, Rat
  • Alternative names
    GNA13 antibody; G13 antibody; G protein subunit alpha 13 antibody
  • Isotype
    Rabbit IgG
  • Preparation
    Antigen: Recombinant protein of human GNA13
  • Clonality
    Polyclonal
  • Formulation
    PBS with 0.02% sodium azide, 50% glycerol, pH7.3.
  • Storage instructions
    Store at -20℃. Avoid freeze / thaw cycles.
  • Applications
    WB 1:500 - 1:2000
    IHC 1:100 - 1:200
    IF 1:50 - 1:200
  • Validations

    Western blot - GNA13 Polyclonal Antibody

    Western blot - GNA13 Polyclonal Antibody

    Western blot analysis of extracts of various cell lines, using GNA13 antibody at 1:500 dilution.Secondary antibody: HRP Goat Anti-Rabbit IgG (H+L) at 1:10000 dilution.Lysates/proteins: 25ug per lane.Blocking buffer: 3% nonfat dry milk in TBST.Detection: ECL Basic Kit .Exposure time: 90s.

    Western blot - GNA13 Polyclonal Antibody

    Western blot - GNA13 Polyclonal Antibody

    Western blot analysis of extracts from normal (control) and GNA13 knockout HeLa cells, using GNA13 antibody at 1:500 dilution.Secondary antibody: HRP Goat Anti-Rabbit IgG (H+L) at 1:10000 dilution.Lysates/proteins: 25ug per lane.Blocking buffer: 3% nonfat dry milk in TBST.Detection: ECL Basic Kit .Exposure time: 10s.

    Immunohistochemistry - GNA13 Polyclonal Antibody

    Immunohistochemistry - GNA13 Polyclonal Antibody

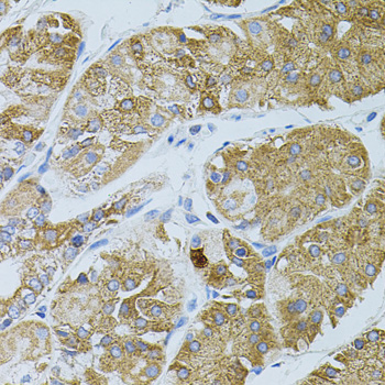
    Immunohistochemistry of paraffin-embedded human liver cancer using GNA13 antibody (40x lens).

    Immunohistochemistry - GNA13 Polyclonal Antibody

    Immunohistochemistry - GNA13 Polyclonal Antibody

    Immunohistochemistry of paraffin-embedded human esophagus using GNA13 antibody (40x lens).

    Immunohistochemistry - GNA13 Polyclonal Antibody

    Immunohistochemistry - GNA13 Polyclonal Antibody

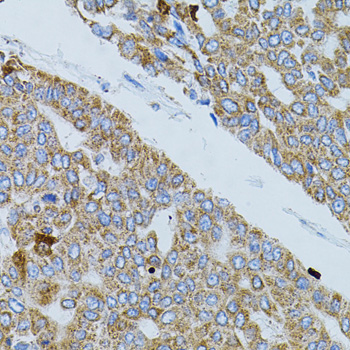
    Immunohistochemistry of paraffin-embedded human stomach using GNA13 antibody (40x lens).

    Immunohistochemistry - GNA13 Polyclonal Antibody

    Immunohistochemistry - GNA13 Polyclonal Antibody

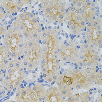
    Immunohistochemistry of paraffin-embedded mouse kidney using GNA13 antibody (40x lens).

  • Background
    Guanine nucleotide-binding proteins (G proteins) are involved as modulators or transducers in various transmembrane signaling systems. Activates effector molecule RhoA by binding and activating RhoGEFs (ARHGEF1/p115RhoGEF, ARHGEF11/PDZ-RhoGEF and ARHGEF12/LARG). GNA13-dependent Rho signaling subsequently regulates transcription factor AP-1 (activating protein-1) (By similarity). Promotes tumor cell invasion and metastasis by activating RhoA/ROCK signaling pathway. Inhibits CDH1-mediated cell adhesion in process independent from Rho activation.

Please note: All products are "FOR RESEARCH USE ONLY AND ARE NOT INTENDED FOR DIAGNOSTIC OR THERAPEUTIC USE"