GGT1 Polyclonal Antibody

Cat.#: 163537

Special Price 226.5 USD

Availability: In Stock
- +

Add to cart to get an online quotation

Product Information

  • Product Name
    GGT1 Polyclonal Antibody
  • Documents
  • Description
    Polyclonal antibody to GGT1
  • Tested applications
    WB, IHC
  • Species reactivity
    Human, Mouse, Rat
  • Alternative names
    GGT1 antibody; CD224 antibody; D22S672 antibody; D22S732 antibody; GGT antibody; GGT 1 antibody; GTG antibody; gamma-glutamyltransferase 1 antibody
  • Isotype
    Rabbit IgG
  • Preparation
    Antigen: Recombinant fusion protein containing a sequence corresponding to amino acids 370-569 of human GGT1 (NP_001027537.1).
  • Clonality
    Polyclonal
  • Formulation
    PBS with 0.02% sodium azide, 50% glycerol, pH7.3.
  • Storage instructions
    Store at -20℃. Avoid freeze / thaw cycles.
  • Applications
    WB 1:500 - 1:2000
    IHC 1:50 - 1:200
  • Validations

    Western blot - GGT1 Polyclonal Antibody

    Western blot - GGT1 Polyclonal Antibody

    Western blot analysis of extracts of various cell lines, using GGT1 antibody at 1:1000 dilution.Secondary antibody: HRP Goat Anti-Rabbit IgG (H+L) at 1:10000 dilution.Lysates/proteins: 25ug per lane.Blocking buffer: 3% nonfat dry milk in TBST.Detection: ECL Enhanced Kit .Exposure time: 90s.

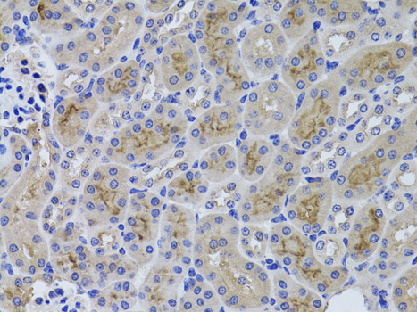
    Immunohistochemistry - GGT1 Polyclonal Antibody

    Immunohistochemistry - GGT1 Polyclonal Antibody

    Immunohistochemistry of paraffin-embedded rat kidney using GGT1 antibody at dilution of 1:100 (40x lens).

    Immunohistochemistry - GGT1 Polyclonal Antibody

    Immunohistochemistry - GGT1 Polyclonal Antibody

    Immunohistochemistry of paraffin-embedded human breast cancer using GGT1 antibody at dilution of 1:100 (40x lens).

    Immunohistochemistry - GGT1 Polyclonal Antibody

    Immunohistochemistry - GGT1 Polyclonal Antibody

    Immunohistochemistry of paraffin-embedded mouse kidney using GGT1 antibody at dilution of 1:100 (40x lens).

  • Background
    Cleaves the gamma-glutamyl bond of extracellular glutathione (gamma-Glu-Cys-Gly), glutathione conjugates, and other gamma-glutamyl compounds. The metabolism of glutathione releases free glutamate and the dipeptide cysteinyl-glycine, which is hydrolyzed to cysteine and glycine by dipeptidases. In the presence of high concentrations of dipeptides and some amino acids, can also catalyze a transpeptidation reaction, transferring the gamma-glutamyl moiety to an acceptor amino acid to form a new gamma-glutamyl compound. Initiates extracellular glutathione (GSH) breakdown, provides cells with a local cysteine supply and contributes to maintain intracellular GSH level. It is part of the cell antioxidant defense mechanism. Isoform 3 seems to be inactive.

Please note: All products are "FOR RESEARCH USE ONLY AND ARE NOT INTENDED FOR DIAGNOSTIC OR THERAPEUTIC USE"