GGA2 Polyclonal Antibody

Cat.#: 160878

Special Price 226.5 USD

Availability: In Stock
- +

Add to cart to get an online quotation

Product Information

  • Product Name
    GGA2 Polyclonal Antibody
  • Documents
  • Description
    Polyclonal antibody to GGA2
  • Tested applications
    WB, IHC, IF
  • Species reactivity
    Human, Mouse, Rat
  • Alternative names
    GGA2 antibody; VEAR antibody; ADP-ribosylation factor-binding protein GGA2 antibody
  • Isotype
    Rabbit IgG
  • Preparation
    Antigen: Recombinant fusion protein containing a sequence corresponding to amino acids 1-300 of human GGA2 (NP_055859.1).
  • Clonality
    Polyclonal
  • Formulation
    PBS with 0.02% sodium azide, 50% glycerol, pH7.3.
  • Storage instructions
    Store at -20℃. Avoid freeze / thaw cycles.
  • Applications
    WB 1:500 - 1:2000
    IHC 1:50 - 1:200
    IF 1:50 - 1:200
  • Validations

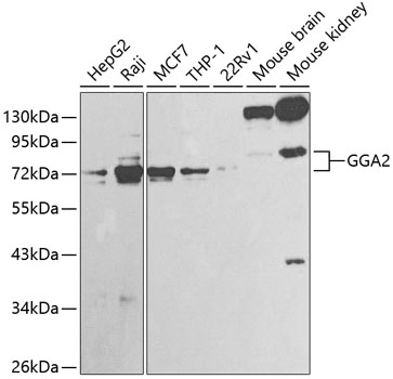
    Western blot - GGA2 Polyclonal Antibody

    Western blot - GGA2 Polyclonal Antibody

    Western blot analysis of extracts of various cell lines, using GGA2 antibody at 1:1000 dilution.Secondary antibody: HRP Goat Anti-Rabbit IgG (H+L) at 1:10000 dilution.Lysates/proteins: 25ug per lane.Blocking buffer: 3% nonfat dry milk in TBST.

    Immunohistochemistry - GGA2 Polyclonal Antibody

    Immunohistochemistry - GGA2 Polyclonal Antibody

    Immunohistochemistry of paraffin-embedded human kidney using GGA2 Antibody at dilution of 1:200 (40x lens).

    Immunohistochemistry - GGA2 Polyclonal Antibody

    Immunohistochemistry - GGA2 Polyclonal Antibody

    Immunohistochemistry of paraffin-embedded human esophageal cancer using GGA2 Antibody at dilution of 1:200 (40x lens).

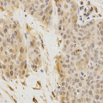
    Immunohistochemistry - GGA2 Polyclonal Antibody

    Immunohistochemistry - GGA2 Polyclonal Antibody

    Immunohistochemistry of paraffin-embedded human stomach using GGA2 Antibody at dilution of 1:200 (40x lens).

    Immunofluorescence - GGA2 Polyclonal Antibody

    Immunofluorescence - GGA2 Polyclonal Antibody

    Immunofluorescence analysis of MCF-7 cells using GGA2 antibody . Blue: DAPI for nuclear staining.

  • Background
    Plays a role in protein sorting and trafficking between the trans-Golgi network (TGN) and endosomes. Mediates the ARF-dependent recruitment of clathrin to the TGN and binds ubiquitinated proteins and membrane cargo molecules with a cytosolic acidic cluster-dileucine (DXXLL) motif. Mediates export of the GPCR receptor ADRA2B to the cell surface. Regulates retrograde transport of phosphorylated form of BACE1 from endosomes to the trans-Golgi network.

Please note: All products are "FOR RESEARCH USE ONLY AND ARE NOT INTENDED FOR DIAGNOSTIC OR THERAPEUTIC USE"