GAC-specific antibody

Cat.#: 110815

Size:

Special Price 239.0 USD

Availability: In Stock
- +

Add to cart to get an online quotation

Product Information

  • Product Name
    GAC-specific antibody
  • Documents
  • Description
    GAC-specific Rabbit Polyclonal antibody. Positive IHC detected in human heart tissue, human kidney tissue, human pancreas cancer tissue. Positive IP detected in mouse kidney tissue. Positive WB detected in HEK-293 cells, mouse kidney tissue. Observed molecular weight by Western-blot: 60-65 kDa
  • Tested applications
    ELISA, IHC, WB, IP
  • Species reactivity
    Human,Mouse,Rat; other species not tested.
  • Alternative names
    AAD20 antibody; DKFZp686O15119 antibody; FLJ10358 antibody; GAC antibody; GAC-specific antibody; GLS antibody; GLS1 antibody; glutaminase C antibody; K glutaminase antibody; KIAA0838 antibody; L glutamine amidohydrolase antibody
  • Isotype
    Rabbit IgG
  • Preparation
    This antibody was obtained by immunization of Peptide (Accession Number: AF158555). Purification method: Antigen affinity purified.
  • Clonality
    Polyclonal
  • Formulation
    PBS with 0.02% sodium azide and 50% glycerol pH 7.3.
  • Storage instructions
    Store at -20℃. DO NOT ALIQUOT
  • Applications

    Recommended Dilution:

    WB: 1:200-1:2000

    IP: 1:200-1:2000

    IHC: 1:20-1:200

  • Validations

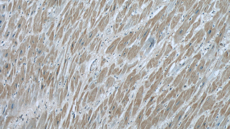
    Immunohistochemical of paraffin-embedded human heart using Catalog No:110815(GAC-specific antibody) at dilution of 1:50 (under 10x lens)

    Immunohistochemical of paraffin-embedded human heart using Catalog No:110815(GAC-specific antibody) at dilution of 1:50 (under 10x lens)

    Immunohistochemical of paraffin-embedded human heart using Catalog No:110815(GAC-specific antibody) at dilution of 1:50 (under 40x lens)

    Immunohistochemical of paraffin-embedded human heart using Catalog No:110815(GAC-specific antibody) at dilution of 1:50 (under 40x lens)

    HEK-293 cells were subjected to SDS PAGE followed by western blot with Catalog No:110815(GAC-specific Antibody) at dilution of 1:600

    HEK-293 cells were subjected to SDS PAGE followed by western blot with Catalog No:110815(GAC-specific Antibody) at dilution of 1:600

    IP Result of anti-GAC-specific (IP:Catalog No:110815, 3ug; Detection:Catalog No:110815 1:500) with mouse kidney tissue lysate 4000ug.

    IP Result of anti-GAC-specific (IP:Catalog No:110815, 3ug; Detection:Catalog No:110815 1:500) with mouse kidney tissue lysate 4000ug.

  • Background
    Glutaminase C (GAC), a splicing variant of the kidney-type glutaminase (KGA) gene, is a vital mitochondrial enzyme protein that catalyzes glutamine to glutamate. GAC is the only isoform present in the mitochondria (PMID:22228304). In a normal state, immunodecorationwith antibodies directed against GAC identified an abundant complex of 232 kDa as a tetrameric form of GAC, the DPAA can directly destructed the native tetrameric GAC complex to accumulate the unassembled one (50-90 kDa). (PMID:22493432). This antibody is specific to GAC isoform. It has no cross reaction to KGA.
  • References
    • Szeliga M, Bogacińska-Karaś M, Różycka A, Hilgier W, Marquez J, Albrecht J. Silencing of GLS and overexpression of GLS2 genes cooperate in decreasing the proliferation and viability of glioblastoma cells. Tumour biology : the journal of the International Society for Oncodevelopmental Biology and Medicine. 35(3):1855-62. 2014.
    • Gross MI, Demo SD, Dennison JB. Antitumor activity of the glutaminase inhibitor CB-839 in triple-negative breast cancer. Molecular cancer therapeutics. 13(4):890-901. 2014.
    • Lee YZ, Yang CW, Chang HY. Discovery of selective inhibitors of Glutaminase-2, which inhibit mTORC1, activate autophagy and inhibit proliferation in cancer cells. Oncotarget. 5(15):6087-101. 2014.
    • Jacque N, Ronchetti AM, Larrue C. Targeting glutaminolysis has antileukemic activity in acute myeloid leukemia and synergizes with BCL-2 inhibition. Blood. 126(11):1346-56. 2015.

Please note: All products are "FOR RESEARCH USE ONLY AND ARE NOT INTENDED FOR DIAGNOSTIC OR THERAPEUTIC USE"